Chảy máu răng là một hiện tượng thường gặp và gây ảnh hưởng đến khả năng ăn uống cũng như sinh hoạt. Biết được các nguyên nhân gây chảy máu răng sẽ giúp bạn có biện pháp khắc phục và phòng tránh hiệu quả. Cùng Nha khoa Parkway điểm qua 11 nguyên nhân gây chảy máu răng qua bài viết sau đây.
Chảy máu răng là gì?
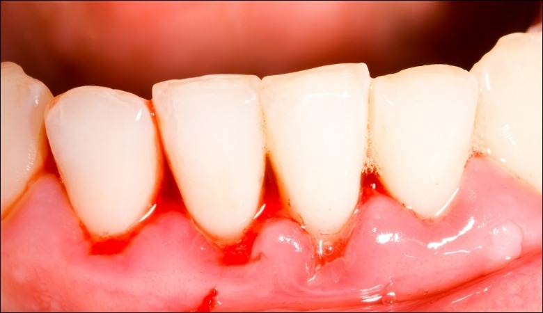
Chảy máu răng hay còn được gọi là chảy máu nướu răng, là tình trạng nướu bị chảy máu khi chải răng, dùng chỉ nha khoa hoặc thậm chí là tự phát. Mức độ chảy máu có thể từ nhẹ (chỉ một vài giọt máu) đến nặng (chảy máu nhiều và kéo dài). Chảy máu răng không chỉ gây khó chịu mà còn có thể là dấu hiệu của các vấn đề răng miệng hoặc sức khỏe tiềm ẩn.
Tình trạng chảy máu chân răng bất thường cần được quan tâm và tìm hiểu nguyên nhân để có biện pháp xử lý kịp thời. Việc bỏ qua các dấu hiệu này có thể dẫn đến các biến chứng nghiêm trọng hơn.

Tình trạng chảy máu chân răng bất thường cần được thăm khám và điều trị kịp thời (Nguồn: Internet)
11 nguyên nhân gây chảy máu răng thường gặp
Đánh răng sai cách
Đánh răng quá mạnh hoặc sử dụng bàn chải lông quá cứng có thể gây tổn thương nướu và dẫn đến chảy máu răng. Việc chải răng theo chiều ngang cũng có thể làm mòn men răng và gây kích ứng nướu.
Đánh răng đúng cách là yếu tố quan trọng để bảo vệ sức khỏe răng miệng. Theo đó, bạn nên chải răng nhẹ nhàng theo chuyển động tròn hoặc dọc, sử dụng bàn chải lông mềm và kem đánh răng chứa fluoride.

Chải răng quá mạnh có thể làm tổn thương nướu gây chảy máu răng (Nguồn: Internet)
Sai kỹ thuật khi dùng chỉ nha khoa
Sử dụng chỉ nha khoa không đúng cách, chẳng hạn như kéo chỉ quá mạnh hoặc không đưa chỉ vào đúng vị trí, cũng có thể gây chảy máu nướu. Việc dùng lực quá mạnh có thể làm tổn thương các mô mềm xung quanh răng.
Nên sử dụng chỉ nha khoa nhẹ nhàng, đưa chỉ vào kẽ răng theo hình chữ C và di chuyển lên xuống nhẹ nhàng. Kỹ thuật đúng giúp loại bỏ mảng bám mà không gây tổn thương nướu.

Sử dụng chỉ nha khoa sai cách có thể khiến nướu răng bị chảy máu (Nguồn: Internet)
Chấn thương răng
Các chấn thương do va đập mạnh vào vùng mặt hoặc răng có thể gây tổn thương nướu và chảy máu răng. Tai nạn trong sinh hoạt, thể thao hoặc tai nạn giao thông đều có thể dẫn đến chấn thương răng.
Trong trường hợp chấn thương răng, bạn cần đến nha sĩ ngay lập tức để được kiểm tra và xử lý kịp thời. Việc xử lý sớm sẽ giúp hạn chế các biến chứng.

Chấn thương răng do tai nạn, chơi thể thao là nguyên nhân gây chảy máu hoặc gãy răng (Nguồn: Internet)
Viêm lợi
Viêm lợi là tình trạng viêm nhiễm ở nướu do sự tích tụ của mảng bám và vôi răng. Nướu bị viêm thường sưng đỏ, dễ chảy máu khi chạm vào hoặc khi chải răng.
Vệ sinh răng miệng kém là nguyên nhân chính gây viêm lợi. Do đó, loại bỏ mảng bám thường xuyên là cách tốt nhất để ngăn ngừa viêm lợi.

Viêm lợi tiến triển nặng có thể gây suy yếu cấu trúc mô xung quanh và dễ gây chảy máu (Nguồn: Internet)
Viêm nha chu
Viêm nha chu là giai đoạn nặng hơn của viêm lợi, khi tình trạng viêm nhiễm đã lan xuống các mô nha chu (xương ổ răng, dây chằng nha chu). Viêm nha chu có thể gây tụt nướu, lung lay răng và cuối cùng là mất răng.
Chảy máu răng là một trong những triệu chứng thường gặp của viêm nha chu. Lúc này, việc điều trị viêm nha chu cần sự can thiệp của nha sĩ.

Chảy máu chân răng là một trong những biểu hiện thường gặp của bệnh viêm nha chu (Nguồn: Internet)
Áp xe răng
Áp xe răng là tình trạng nhiễm trùng có mủ ở chân răng hoặc nướu. Áp xe răng gây đau nhức dữ dội, sưng tấy và có thể gây chảy máu răng.
Áp xe răng cần được điều trị bởi nha sĩ để tránh lây lan nhiễm trùng. Việc điều trị thường bao gồm dẫn lưu mủ và sử dụng kháng sinh.

Áp xe răng gây cảm giác đau nhức và chảy máu (Nguồn: Internet)
Thiếu Vitamin (K và C)
Thiếu vitamin K và C có thể ảnh hưởng đến quá trình đông máu và sức khỏe của nướu. Thiếu vitamin C làm suy yếu các mô liên kết, khiến nướu dễ bị tổn thương và chảy máu. Trong khi đó, vitamin K đóng vai trò quan trọng trong quá trình đông máu.
Bổ sung đầy đủ vitamin K và C thông qua chế độ ăn uống hoặc thực phẩm chức năng là cần thiết để duy trì sức khỏe răng miệng. Chế độ ăn cân bằng là chìa khóa để răng nướu của bạn luôn khỏe mạnh.
Thay đổi nội tiết tố ở phụ nữ
Sự thay đổi nội tiết tố trong thời kỳ mang thai, kinh nguyệt hoặc mãn kinh có thể làm cho nướu nhạy cảm hơn và dễ bị chảy máu. Sự thay đổi hormone ảnh hưởng đến lưu lượng máu đến nướu.
Chính vì vậy, việc vệ sinh răng miệng trong giai đoạn này cần cẩn thận hơn. Ngoài ra, bạn cũng nên tham khảo ý kiến nha sĩ để được tư vấn cụ thể và có các biện pháp xử lý phù hợp.
Các bệnh lý về gan
Gan đóng vai trò quan trọng trong việc sản xuất các yếu tố đông máu. Các bệnh lý về gan có thể ảnh hưởng đến khả năng đông máu của cơ thể, dẫn đến chảy máu răng.
Nếu bạn có tiền sử bệnh gan và bị chảy máu răng, hãy thông báo cho nha sĩ và bác sĩ điều trị. Việc trao đổi thông tin giữa các bác sĩ là rất quan trọng.
Ảnh hưởng của thuốc điều trị
Một số loại thuốc, chẳng hạn như thuốc chống đông máu, thuốc chống viêm không steroid (NSAIDs),… có thể làm tăng nguy cơ chảy máu răng. Các loại thuốc này ảnh hưởng đến quá trình đông máu hoặc gây kích ứng nướu.
Hãy thông báo cho nha sĩ về tất cả các loại thuốc bạn đang sử dụng. Nha sĩ sẽ tư vấn cho bạn cách xử lý phù hợp.

Sử dụng một số loại thuốc chống viêm, chống đông máu cũng là nguyên nhân gây chảy máu răng (Nguồn: Internet)
Tiểu đường
Bệnh tiểu đường làm tăng nguy cơ mắc các bệnh về nướu và chảy máu răng. Lượng đường trong máu cao ảnh hưởng đến khả năng chống lại nhiễm trùng của cơ thể.
Kiểm soát tốt lượng đường trong máu là rất quan trọng để ngăn ngừa các biến chứng răng miệng ở người bệnh tiểu đường. Vệ sinh răng miệng kỹ lưỡng cũng rất quan trọng.
Một số lưu ý để phòng tránh chảy máu răng
Để phòng tránh chảy máu răng, bạn nên:
- Vệ sinh răng miệng đúng cách: Chải răng ít nhất hai lần mỗi ngày, sử dụng chỉ nha khoa mỗi ngày và súc miệng bằng nước súc miệng.
- Khám răng miệng định kỳ: Đến nha sĩ kiểm tra răng miệng 6 tháng một lần.
- Chế độ ăn uống cân bằng: Bổ sung đầy đủ vitamin và khoáng chất, đặc biệt là vitamin C và K.
- Tránh các chất kích thích: Hạn chế rượu bia, thuốc lá.
- Kiểm soát tốt các bệnh lý nền: Nếu có bệnh tiểu đường, bệnh gan hoặc các bệnh lý khác, hãy tuân thủ theo phác đồ điều trị của bác sĩ.
Việc tuân thủ các lưu ý trên sẽ giúp bạn giảm thiểu nguy cơ chảy máu răng và duy trì sức khỏe răng miệng tốt.

Bổ sung vitamin C, K từ nguồn thực phẩm hàng ngày để tăng cường sức khỏe răng nướu và phòng ngừa chảy máu răng hiệu quả (Nguồn: Internet)
Dịch vụ nha khoa tổng quát tại Parkway
Nha khoa Parkway cung cấp dịch vụ nha khoa tổng quát toàn diện, bao gồm khám, tư vấn và điều trị các vấn đề răng miệng. Đội ngũ bác sĩ giàu kinh nghiệm của chúng tôi sẽ khám tư vấn kỹ lưỡng, tìm ra nguyên nhân gây chảy máu răng và đưa ra phác đồ điều trị phù hợp nhất cho từng bệnh nhân.
Nha khoa Parkway là chuỗi hệ thống nha khoa uy tín toàn quốc, gồm nhiều dịch vụ từ cơ bản đến chuyên sâu, đáp ứng mọi nhu cầu của khách hàng, cho mọi lứa tuổi. Khi sử dụng dịch vụ nha khoa tổng quát tại Parkway, khách hàng có thể yên tâm bởi:
- Parkway luôn đặt lợi ích sức khỏe của khách hàng lên hàng đầu.
- Đội ngũ bác sĩ đầu ngành, bằng cấp rõ ràng, nhiều năm kinh nghiệm và tận tâm với khách hàng.
- Cơ sở vật chất hiện đại, trang thiết bị tối tân.
- Hệ thống chuỗi nha khoa 16 cơ sở khắp cả nước.
- Báo giá trọn gói, minh bạch, không phát sinh chi phí trong quá trình điều trị.
- Phương thức thanh toán linh hoạt.
Trên đây là bài viết tổng hợp 11 nguyên nhân gây chảy máu chân răng mà Nha khoa Parkway gửi đến bạn. Nếu vẫn còn bất kỳ thắc mắc nào, hãy liên hệ với chúng tôi để được tư vẫn rõ hơn nhé!
Xem thêm: