Bọc răng sứ là một trong những phương pháp nha khoa thẩm mỹ và phục hồi răng phổ biến hiện nay. Khi đó nha sĩ sẽ thực hiện mài răng thật để chụp mão sứ phía trên. Việc này có nhiều lợi ích, không chỉ giúp phục hồi răng hư tổn mà còn cải thiện chức năng ăn nhai và tăng tính thẩm mỹ cho nụ cười. Bên cạnh những lợi ích, thì phương pháp này vẫn có những điều hạn chế nhất định. Chính vì vậy, nhiều người vẫn luôn đặt ra câu hỏi liệu có nên bọc răng sứ không? Hãy cùng nha khoa Parkway tìm hiểu kỹ hơn về phương pháp này qua bài viết sau đây nhé.
Bọc răng sứ là gì?
Bọc răng sứ là phương pháp phục hình răng thật bằng vật liệu sứ, vỏ sứ được chế tạo để có màu sắc và hình dáng như răng thật, giúp cải thiện chức năng ăn nhai và giúp cải thiện thẩm mỹ nụ cười. Quá trình này thường được thực hiện khi răng bị hư hỏng, sứt mẻ hoặc có hình dạng không đều. Bác sĩ sẽ thực hiện mài răng thật tạo không gian cho lớp sứ, sau đó cố định lớp sứ lên răng bằng keo nha khoa đặc biệt.
Bọc răng sứ có những lợi ích gì?
Bọc răng sứ là phương pháp được các bác sĩ chỉ định cho những bệnh nhân đang gặp các vấn đề về răng như răng bị sứt mẻ, hở kẽ răng, răng thưa, răng mọc lệch lạc, răng nhiễm màu kháng sinh, răng bị hư tổn không thể phục hồi bằng trám răng,…Phương pháp này có những lợi ích như sau:
- Cải thiện tính thẩm mỹ cho răng: Khắc phục những khuyết điểm của răng như hô, móm, khấp khểnh, răng bị xỉn màu, thưa nhẹ,… Răng sứ được chế tạo có màu sắc như răng thật mang lại nụ cười tự nhiên nhất.
- Tăng cường chức năng: Răng có độ bền cao, giúp cải thiện chức năng ăn nhai
- Bảo vệ răng thật: bảo vệ răng thật trong các trường hợp sâu răng, răng sứt vỡ, răng đã chữa tủy.

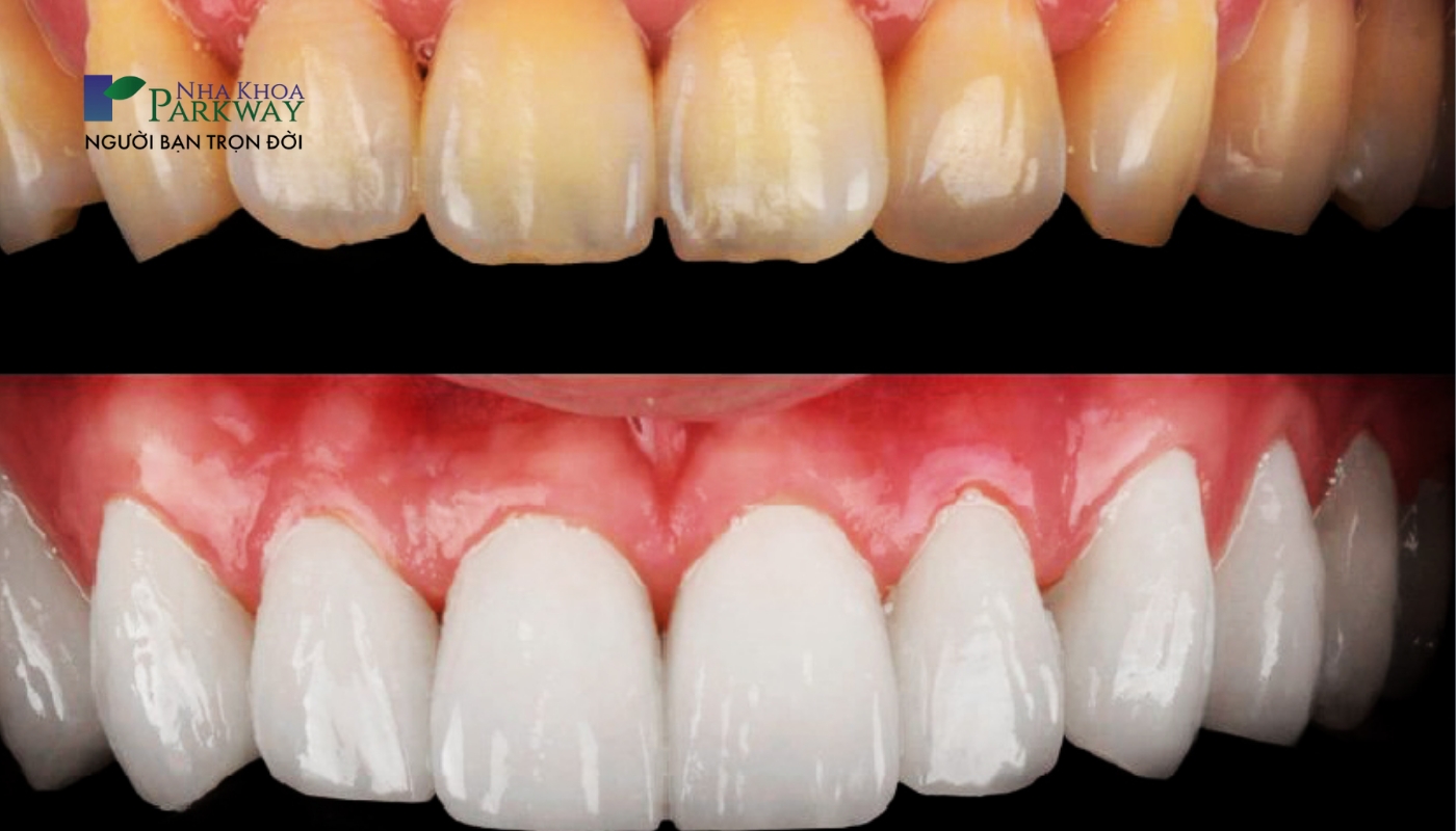
Bọc răng sứ cải thiện tính thẩm mỹ cho răng, mang lại nụ cười tự tin và tỏa sáng (Nguồn: Internet)
Những trường hợp cần bọc răng sứ
Việc bọc răng sứ, điều đầu tiên cần là đảm bảo chức năng ăn nhai sau đó mới đến thẩm mỹ. Do đó, để trả lời cho câu hỏi “Có nên bọc răng sứ không?” trước tiên, mời bạn tham khảo những trường hợp bọc răng sứ dưới đây.
Sâu răng chữa tủy
Nếu sâu răng mà không được điều trị sớm, lâu dần sẽ dẫn đến viêm tủy, nhiễm trùng và nhiều biến chứng khác. Thông thường, điều trị sâu răng giai đoạn đầu thường thực hiện trám răng composite thì không cần bọc răng sứ.
Trường hợp, nếu răng hư tổn nặng cần chữa tủy, răng sau khi chữa tủy sẽ rất yếu, dễ gãy. Do đó, việc bọc răng sứ là cần thiết để bảo tồn răng thật, ngăn ngừa viêm nhiễm, hư tổn và mất răng
Răng thưa hoặc mọc không đều
Đối với trường hợp răng thưa, hở kẽ, những khoảng trống giữa các răng không chỉ ảnh hưởng đến thẩm mỹ mà còn dễ gây ra các vấn đề về vệ sinh răng miệng. Bọc răng sứ giúp làm đầy các khoảng trống này, mang lại nụ cười đều đặn hơn.
Những trường hợp răng mọc không đều, răng mọc lệch, mọc nghiêng… Bọc răng sứ là phương pháp mang lại hàm răng đều và đẹp. Bọc răng sứ trong trường hợp răng mọc không đều ở mức độ nhẹ là phương pháp tiết kiệm thời gian hơn rất nhiều so với niềng răng.
Răng hô, móm nhẹ
Đối với những trường hợp răng hô hoặc móm nhẹ do răng, bọc răng sứ có thể là giải pháp nhanh chóng và hiệu quả để cải thiện thẩm mỹ mà không cần phải thực hiện các phương pháp niềng răng.
Răng bị ố vàng, xỉn màu
Dù vệ sinh răng miệng kỹ lưỡng nhưng nếu răng vẫn bị ố vàng hoặc xỉn màu do di truyền, thuốc lá, cà phê hoặc một số loại thuốc, bọc răng sứ sẽ giúp bạn có một hàm răng trắng sáng và đều màu.
Răng bị mòn men
Men răng bị mòn do tác động của axit từ thực phẩm hoặc do chải răng quá mạnh sẽ làm răng trở nên nhạy cảm và dễ bị sâu. Bọc răng sứ giúp bảo vệ và giảm cảm giác nhạy cảm, đồng thời cải thiện thẩm mỹ.
Nhu cầu thẩm mỹ
Nhu cầu làm đẹp là nhu cầu chính đáng, cần được tôn trọng. Đối với những người muốn cải thiện nụ cười một cách toàn diện và nhanh chóng, bọc răng sứ là một lựa chọn lý tưởng. Với công nghệ hiện đại, răng sứ có thể được chế tạo với màu sắc, hình dáng tự nhiên, mang lại vẻ đẹp hoàn hảo.
Những điều cần lưu ý khi bọc răng sứ
Để đạt được kết quả tốt nhất và tránh các vấn đề không mong muốn, bạn cần lưu ý một số điều quan trọng trước, trong và sau quá trình bọc răng sứ.
- Tham khảo ý kiến nha sĩ: Nha sĩ sẽ kiểm tra kỹ lưỡng tình trạng răng miệng của bạn để xác định xem bọc răng sứ có phải là giải pháp phù hợp hay không
- Lựa chọn nha khoa uy tín: Việc lựa chọn nha khoa uy tín cùng đội ngũ bác sĩ giàu kinh nghiệm và kỹ thuật chuyên môn cao sẽ mang lại hiệu quả bọc răng sứ cao hơn.
- Lựa chọn loại răng sứ phù hợp: Có nhiều loại sứ khác nhau với giá cả và chất lượng khác nhau. Nha sĩ sẽ tư vấn loại sứ phù hợp với nhu cầu và tài chính của bạn.
- Vệ sinh răng miệng đúng cách: Sau khi bọc răng sứ, cần vệ sinh răng miệng kỹ 2 lần/ ngày, sử dụng chỉ nha khoa để làm sạch mảng bám ở kẽ răng và súc nước muối để loại bỏ vi khuẩn trong khoang miệng.
- Ăn uống đúng cách: Tránh ăn nhai thức ăn quá cứng hoặc dai để tránh làm hỏng mão sứ. Bên cạnh đó, răng sứ có thể nhạy cảm, do đó nên tránh ăn các thực phẩm quá nóng hoặc quá lạnh để tránh ê buốt răng.
- Tái khám định kỳ: Kiểm tra định kỳ giúp phát hiện sớm các vấn đề và đảm bảo răng sứ luôn ở tình trạng tốt nhất.

Tài khám định kỳ để bác sĩ phát hiện sớm các vấn đề răng miệng và đưa ra giải pháp điều trị kịp thời
Có nên bọc răng sứ không?
Bọc răng sứ là một giải pháp hiệu quả cho nhiều vấn đề về răng miệng, từ thẩm mỹ đến chức năng. Với những lợi ích như: mang tính thẩm mỹ cao, độ bền răng bọc sứ cao, chống bám màu tốt, đảm bảo chức năng ăn nhai, bảo vệ tốt cho răng thật. Bọc răng sứ là giải pháp lý tưởng nếu bạn muốn sở hữu nụ cười hoàn hảo, rạng ngời và tự tin.

Bọc răng sứ là một giải pháp hiệu quả cho nhiều vấn đề về răng miệng, từ thẩm mỹ đến chức năng (Nguồn: Internet)
Tuy nhiên, phương pháp nào cũng sẽ gây ra một vài tác động nhất định đến hàm răng của bạn kể cả bọc răng sứ. Bên cạnh đó, tài chính cũng là một yếu tố cần được xem xét kỹ lưỡng. Đầu tư vào bọc răng sứ không chỉ là đầu tư vào ngoại hình mà còn là đầu tư vào sức khỏe răng miệng dài lâu. Do đó, để đi đến quyết định cuối cùng có nên bọc răng sứ hay không, bạn vẫn nên tìm hiểu kỹ cũng như tham khảo ý kiến Bác sĩ để hiểu rõ hơn về những lợi ích và ảnh hưởng của phương pháp này đến răng miệng của bạn.
Bọc răng sứ ở đâu tốt?
Dịch vụ bọc răng sứ tại nha khoa Parkway
Bọc răng sứ là giải pháp tối ưu nhằm cải thiện nét đẹp, chức năng của răng và cảm giác khó chịu là điều khó tránh khi bọc răng sứ. Tuy nhiên, nếu lựa chọn được một nha khoa chất lượng, bạn hoàn toàn có thể an tâm thực hiện quy trình bọc sứ với sự thoải mái cao nhất.
Nha khoa Parkway là chuỗi hệ thống nha khoa uy tín toàn quốc, gồm nhiều dịch vụ từ cơ bản đến chuyên sâu, đáp ứng mọi nhu cầu của khách hàng.
Hiện nay, Parkway cung cấp một số gói dịch vụ bọc răng sứ cao cấp như:
- Răng sứ Zircad Prime/ Lava
- Răng sứ Cercon/ Nacera/ Cercon HT/ Zorlid Ceramill
- Răng sứ Zirconia DMax/ DDBIO
- Răng sứ Titan
- Răng sứ Lisi thẩm mỹ
- Dán sứ veneer Emax thẩm mỹ
- Dán sứ veneer Lisi thẩm mỹ
Khi sử dụng các dịch vụ nha khoa thẩm mỹ tại Parkway, bạn hoàn toàn có thể an tâm bởi:
- Luôn đặt lợi ích sức khỏe của khách hàng lên hàng đầu
- Đội ngũ bác sĩ nha khoa giàu kinh nghiệm
- Cơ sở vật chất hiện đại, trang thiết bị tối tân
- Hệ thống phòng khám nha khoa khắp cả nước
- Báo giá trọn gói, minh bạch, không phát sinh chi phí trong quá trình điều trị
- Có hợp đồng cam kết hiệu quả điều trị rõ ràng
Quy trình bọc răng sứ tại nha khoa Parkway
Quy trình bọc răng sứ tại nha khoa Parkway gồm các bước cụ thể như sau:
- Tư vấn và lên kế hoạch điều trị.
- Kiểm tra tình trạng của răng thật cần bọc sứ.
- Tiến hành mài chỉnh răng thật bằng các loại khí cụ nha khoa chuyên dụng.
- Lấy dấu răng (dùng silicon) và gửi xưởng sản xuất mão sứ.
- Đeo răng tạm làm từ vật liệu Composite cho bệnh nhân trong quá trình chờ mão sứ.
- Xưởng chế tạo răng sứ / mão sứ / miếng ghép inlay onlay / veneer sứ / cầu răng
- Tiến hành gắn thử mão sứ lên cùi răng, nếu ổn sẽ tiến hành gắn thật
- Sau 1 tuần, bệnh nhân sẽ tái khám để chỉnh khớp cắn khi răng đã vào khớp
Trên đây là nội dung bài viết Có nên bọc răng sứ không? 6 điều cần lưu ý khi bọc răng sứ. Nha khoa Parkway hy vọng đã cung cấp được những kiến thức hữu ích và giúp bạn có thêm kiến thức chăm sóc sức
Xem thêm: