
Men răng có vai trò quan trọng trong cấu tạo của răng. Men răng khỏe mạnh, sáng bóng giúp chức năng ăn nhai ổn định, cũng như đảm bảo tính thẩm mỹ cho nụ cười. Ngược lại, nếu men răng suy yếu không chỉ gây mất thẩm mỹ mà còn tiềm ẩn nhiều nguy cơ mắc sâu răng và các bệnh nha chu khác. Cùng Nha khoa Parkway tìm hiểu chi tiết về men răng và các vấn đề thường gặp qua bài viết sau đây nhé!
Men răng là gì?
Men răng là lớp ngoài cùng của răng, có cấu tạo rất cứng chắc và bền vững. Đây là lớp bảo vệ quan trọng giúp răng chống lại các tác động từ môi trường bên ngoài như nhiệt độ, hóa chất và vi khuẩn.
Men răng thường có màu trắng trong hoặc hơi ngà, có thể nhìn xuyên qua bằng mắt thường. Sau lớp men răng chính là ngà răng, do đó khi nhìn vào, phần ngà răng mới quyết định màu sắc khác nhau của răng như: trắng nhạt, xám, vàng nhạt,…

Men răng là lớp ngoài cùng và có màu trắng trong suốt, giúp tạo nên độ sáng bóng cho hàm răng (Nguồn: Internet)
Cấu tạo của men răng
Một chiếc răng hoàn chỉnh được cấu thành từ 4 lớp mô lớn từ ngoài vào trong gồm: men răng, ngà răng, cementum (là một lớp phủ canxi mỏng để bao kín chân răng) và tủy răng. Trong đó, men răng được cấu tạo từ các tinh thể hydroxyapatite, một dạng khoáng chất có chứa canxi và photpho.
Men răng không có tế bào sống, vì thế chúng cũng sẽ không có khả năng tự phục hồi khi bị tổn thương. Chính vì vậy, việc bảo vệ men răng là rất quan trọng và ảnh hưởng trực tiếp đến sức khỏe răng miệng của mỗi người.

Men răng gồm 95 phần trăm là khoáng chất cùng nước và các loại Protein (Nguồn: Internet)
Vai trò của men răng
Men răng có rất nhiều vai trò quan trọng đối với chức năng nhai cũng như tính thẩm mỹ của răng như:
- Bảo vệ răng: Men răng là lớp bảo vệ đầu tiên của răng, chúng giúp cho các cấu trúc bên trong răng như ngà răng và tủy răng tránh khỏi các tác động từ bên ngoài như vi khuẩn, acid từ vụn thức ăn,…
- Duy trì chức năng ăn nhai: Men răng cứng chắc sẽ giúp răng chịu được lực nhai lớn, hạn chế nguy cơ bị mòn hoặc gãy vỡ.
- Thẩm mỹ: Men răng sáng bóng sẽ giúp tổng thể hàm răng của bạn trông đều màu, trắng sáng, từ đó đem nên nụ cười tự tin và rạng ngời hơn.

Men răng giúp bảo vệ lớp ngà và tủy khỏi tác động của ngoại lực, vi khuẩn và acid (Nguồn: Internet)
Một số vấn đề về men răng thường gặp phải
Mòn men răng
Mòn men răng là vấn đề phổ biến mà nhiều người gặp phải. Hiện tượng này xảy ra khi lớp men bị mài mòn do các tác động từ bên ngoài như: ăn uống thực phẩm chứa nhiều acid, chải răng quá mạnh hoặc do thói quen nghiến răng.
Khi men răng bị mài mòn có thể làm lộ ngà răng, gây ra cảm giác ê buốt. Ngoài ra, vi khuẩn tồn tại trong khoang miệng có thể thâm nhập vào các vị trí men răng bị mòn và tấn công ngà răng, dẫn đến tình trạng sâu răng nếu như không khắc phục kịp thời.

Mòn men răng có thể làm lộ lớp ngà, tạo cảm giác ê buốt khi ăn (Nguồn: Internet)
Thiếu sản men răng
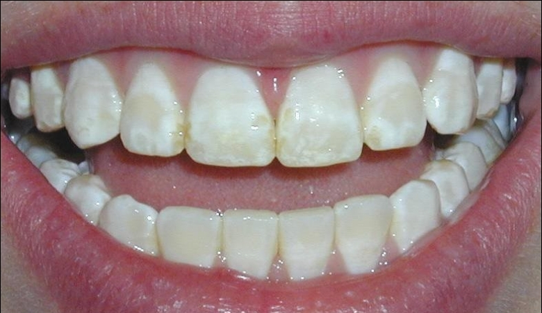
Thiếu sản men răng là tình trạng men răng không phát triển đầy đủ hoặc bị hư hỏng ngay từ khi mới hình thành trong giai đoạn mọc răng. Nguyên nhân gây nên hiện tượng này thường là do di truyền, cơ thể bị thiếu dưỡng chất hoặc do bệnh lý trong quá trình phát triển của răng.
Răng thiếu sản men thường yếu hơn so với bình thường. Do đó, tình trạng này còn dẫn đến việc răng bạn sẽ dễ bị tổn thương nếu sử dụng lực nhai quá mạnh, cũng như tăng nguy cơ sâu răng cao hơn bình thường.

Thiếu sản men khiến răng yếu và tăng nguy cơ sâu răng (Nguồn: Internet)
Men răng yếu
Men răng yếu cũng là một trong những vấn đề thường gặp hiện nay. Nguyên nhân chủ yếu gây nên tình trạng này là do thói quen ăn uống thiếu khoa học như: ăn quá nhiều thực phẩm có đường, uống nhiều nước ngọt có gas và chăm sóc răng miệng chưa đúng cách.
Một khi men răng bị suy yếu, đó sẽ là điều kiện thuận lợi cho các loại vi khuẩn tấn công và gây sâu răng. Ngoài ra, men răng yếu còn dễ dẫn đến nhiều bệnh nha chu khác.
Cách phục hồi men răng yếu hiệu quả
Bổ sung Fluoride cho răng
Fluor là một hợp chất dinh dưỡng có vai trò quan trọng đối với việc hình thành và tái khoáng men răng, thúc đẩy quá trình canxi hóa để răng chắc khỏe. Bổ sung Fluoride là một phương pháp hiệu quả để phục hồi và củng cố cho men răng yếu. Một trong những cách đơn giản để bổ sung Fluoride cho men răng yếu đó là sử dụng các loại kem đánh răng và nước súc miệng chứa Fluoride, dùng thuốc bổ sung Fluoride dạng viên hoặc dung dịch
Ngoài ra, đối với những trường hợp có nguy cơ sâu răng cao, bạn có thể bổ sung Fluor chuyên sâu tại nha khoa với phương pháp gel Fluoride bằng cách ngậm máng chứa gel Fluoride trong khoảng 1-4 phút, giúp tăng khả năng tái khoáng cũng như sự chắc khỏe cho răng.

Chải răng hàng ngàu với kem đánh răng chứa FFluoride để củng cố và tăng cường sự chắc khỏe của men răng (Nguồn: Internet)
Tham khảo các dịch vụ bôi Fluoride phòng ngừa sâu răng, giảm ê tại Parkway:
Bổ sung các loại khoáng chất từ thực phẩm
Tăng cường các loại khoáng chất cần thiết từ nguồn thực phẩm là một phương pháp phục hồi men răng tự nhiên, an toàn và hiệu quả cao. Theo đó, bạn nên ăn các loại thực phẩm giàu canxi, photpho và vitamin D như: sữa, phô mai, cá hồi, rau xanh,… Đây đều là những dưỡng chất quan trọng và cần thiết cho sự phục hồi của men răng.
Trám răng
Việc thăm khám nha khoa định kỳ là rất cần thiết để duy trì sức khỏe răng miệng tốt, cũng như giúp các bác sĩ sớm phát hiện và khắc phục các vấn đề phát sinh, nhất là đối với men răng. Đối với trường hợp men răng bị suy yếu nặng, hư hỏng nghiêm trọng và không còn khả năng phục hồi thì bác sĩ thường sẽ chỉ định trám để phòng ngừa nguy cơ sâu răng.
Bên cạnh đó, men răng bị mài mòn, hư hỏng nặng còn ảnh hưởng không nhỏ đến vẻ ngoài của răng, nên việc trám răng còn giúp khôi phục lại hình dáng và chức năng của răng. Chất liệu trám răng thường là composite, amalgam hoặc các vật liệu khác có tính bền vững và thẩm mỹ.

Việc trám răng được chỉ định trong trường hợp men răng bị hư hại nhiều và người bệnh có nguy cơ sâu răng cao (Nguồn: Internet)
Bọc sứ
Bên cạnh phương pháp trám răng, bọc sứ cũng là một cách khắc phục men răng suy yếu, răng nhạy cảm hoặc răng bị vỡ, mẻ hiệu quả. Các loại mão sứ chất lượng được làm từ những vật liệu nha khoa an toàn, cứng chắc sẽ giúp bảo vệ răng tránh khỏi các tác động hóa học (acid, vi khuẩn) hoặc cơ học (chải răng mạnh, mài mòn do ăn nhai,…).
Ngoài ra, bọc răng sứ cũng là phương pháp phục hồi men răng rất hiệu quả đối với những khách hàng có nhu cầu cao về mặt thẩm mỹ, với màu sắc và hình dáng tương tự như răng thật. Điều này còn giúp giải quyết hiện tượng răng xỉn màu, ố vàng một cách tối ưu, đem lại hàm răng sáng đều và nụ cười tự tin.

Bọc sứ không chỉ bảo vệ cùi răng mà còn giúp mang đến nụ cười tươi tắn, hàm răng đều đẹp (Nguồn: Internet)
Cách bảo vệ men răng tối ưu
Bảo vệ men răng là điều vô cùng cần thiết cho sự phát triển khỏe mạnh của hàm răng, dưới đây là một số lưu ý hàng ngày để giúp men răng khỏe mạnh hơn:
- Đánh răng đúng cách: Sử dụng bàn chải mềm và chải răng nhẹ nhàng ít nhất 2 lần mỗi ngày với kem đánh răng chứa Fluoride.
- Dùng chỉ nha khoa: Làm sạch kẽ răng bằng chỉ nha khoa hàng ngày để ngăn ngừa viêm nướu và sâu răng.
- Hạn chế thực phẩm chứa nhiều acid: Giảm tiêu thụ các loại thực phẩm và đồ uống có nhiều acid như nước có ga, nước chanh, các loại kẹo chua để tránh làm mòn men răng.
- Khám răng định kỳ: Đi khám răng ít nhất 2 lần mỗi năm để kiểm tra và làm sạch răng miệng, phát hiện sớm các vấn đề về men răng và điều trị kịp thời.
- Bảo vệ răng khi chơi thể thao: Đeo bảo hộ miệng khi tham gia các hoạt động thể thao để tránh chấn thương răng.
Dịch vụ nha khoa tổng quát tại Parkway
Nha khoa Parkway cung cấp dịch vụ nha khoa tổng quát với đội ngũ bác sĩ giàu kinh nghiệm và trang thiết bị hiện đại. Chúng tôi cam kết mang đến cho khách hàng những trải nghiệm chăm sóc răng miệng tốt nhất, giúp duy trì và nâng cao sức khỏe răng miệng. Hãy đến với Nha khoa Parkway để được tư vấn và chăm sóc răng miệng một cách toàn diện và chuyên nghiệp.
Nha khoa Parkway là chuỗi hệ thống nha khoa uy tín toàn quốc, gồm nhiều dịch vụ từ cơ bản đến chuyên sâu, đáp ứng mọi nhu cầu của khách hàng, cho mọi lứa tuổi. Khi sử dụng dịch vụ nha khoa tổng quát tại Parkway, khách hàng có thể yên tâm bởi:
- Parkway luôn đặt lợi ích sức khỏe của khách hàng lên hàng đầu.
- Đội ngũ bác sĩ đầu ngành, bằng cấp rõ ràng, nhiều năm kinh nghiệm và tận tâm với khách hàng.
- Cơ sở vật chất hiện đại, trang thiết bị tối tân.
- Hệ thống chuỗi nha khoa 16 cơ sở khắp cả nước.
- Báo giá trọn gói, minh bạch, không phát sinh chi phí trong quá trình điều trị.
Hy vọng bài viết này sẽ giúp bạn hiểu rõ hơn về cấu tạo, vai trò của men răng và cách bảo vệ men răng hiệu quả. Nếu bạn cần thêm thông tin hoặc có câu hỏi, hãy liên hệ với Nha khoa Parkway để được tư vấn chi tiết hơn!
Xem thêm: