
Răng hô vẩu là một vấn đề răng miệng phổ biến, ảnh hưởng đến thẩm mỹ khuôn mặt và sự tự tin trong giao tiếp. Hiểu rõ về các phân loại và nguyên nhân gây hô vẩu là chìa khóa để lựa chọn phương pháp điều trị phù hợp. Trong bài viết này, Nha khoa Parkway sẽ cung cấp cho bạn những thông tin chi tiết và hữu ích về tình trạng này.
Răng hô là gì?
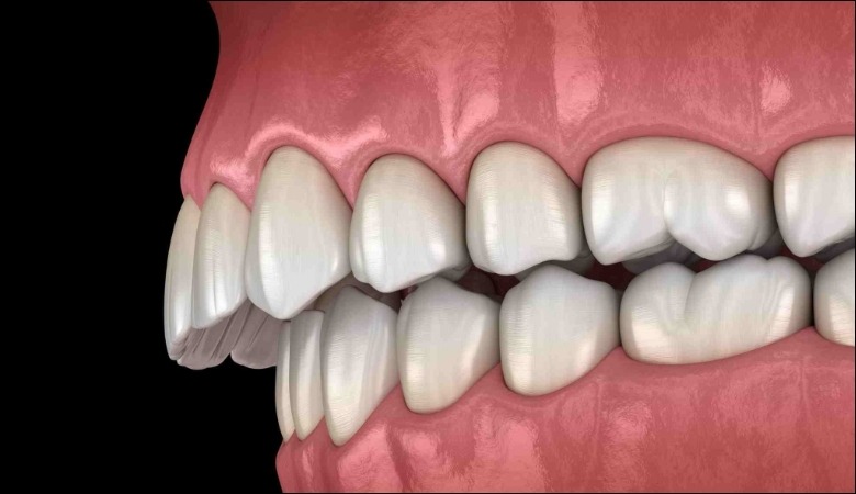
Răng hô hay còn gọi là răng vẩu, là tình trạng răng hoặc xương hàm trên nhô ra phía trước so với hàm dưới. Sự sai lệch này có thể do răng, do xương hàm, hoặc do cả hai. Mức độ hô vẩu được chia thành hai loại:
- Hô nhẹ: Răng mọc không thẳng đứng nhưng độ chìa ra ngoài không đáng kể. Đôi khi, cần thăm khám trực tiếp với bác sĩ để xác định chính xác.
- Hô nặng: Răng hàm trên nhô ra nhiều so với hàm dưới, dễ dàng nhận thấy bằng mắt thường.
Răng hô không chỉ ảnh hưởng đến thẩm mỹ mà còn tác động đến sức khỏe răng miệng. Tình trạng này có thể gây mất cân đối khuôn mặt, ảnh hưởng đến khớp cắn, khả năng ăn nhai và thậm chí là khớp thái dương hàm.

Nguyên nhân khiến răng bị hô
Có nhiều nguyên nhân dẫn đến răng hô vẩu, được chia thành ba nhóm chính:
- Hô do răng: Răng mọc lệch lạc, không theo phương thẳng đứng mà chìa ra ngoài. Kích thước răng quá lớn so với khung hàm cũng có thể gây ra tình trạng này. Các thói quen xấu như mút tay, ngậm mút khi còn nhỏ, hoặc mất răng sữa sớm mà không được xử lý kịp thời cũng góp phần làm răng mọc lệch lạc.
- Hô do hàm: Xương hàm phát triển quá mức, đặc biệt là hàm trên, so với hàm dưới. Tình trạng này thường do yếu tố di truyền.
- Hô do cả răng và hàm: Đây là trường hợp phức tạp hơn, kết hợp cả hai nguyên nhân trên.
Phân loại răng hô vẩu
Dựa trên vị trí và đặc điểm, răng hô vẩu được phân loại như sau:
- Hô hàm trên: Xương hàm trên phát triển quá mức, khiến răng hàm trên nhô ra, gây mất cân đối khuôn mặt và ảnh hưởng đến khớp cắn.
- Hô làm môi dày: Do sự mất cân đối giữa hai hàm, khiến răng hàm trên nhô ra, làm môi dày và khó khép kín. Nguyên nhân có thể do răng, do xương hàm, hoặc cả hai.
- Hô hở lợi: Phần lợi lộ ra nhiều khi cười do răng quá ngắn so với lợi. Điều này ảnh hưởng lớn đến thẩm mỹ nụ cười.
- Hô hàm dưới: Răng hàm dưới nằm ngoài răng hàm trên, cằm có thể bị lệch. Tình trạng này ảnh hưởng đến khớp cắn và khả năng ăn nhai.
- Hô cằm lẹm: Cằm bị thụt vào do cấu trúc xương cằm ngắn. Tình trạng này chủ yếu ảnh hưởng đến thẩm mỹ và có thể do di truyền, tai nạn, mất răng hoặc bệnh lý răng miệng.
Điều trị răng hô
Để có thể điều trị răng hô hiệu quả, điều quan trọng là cần phải xác định được chính xác nguyên nhân gây hô do đâu. Bởi mỗi tình trạng hô khác nhau sẽ có mức độ phức tạp và tác động khác biệt.
Phương pháp điều trị răng hô do răng
Niềng răng (chỉnh nha)
Niềng răng là phương pháp được ưa chuộng và hiệu quả cho các trường hợp hô do răng. Phương pháp này sử dụng lực kéo từ mắc cài và dây cung (niềng răng mắc cài) hoặc hệ thống khay niềng trong suốt (Invisalign) để di chuyển răng từng chút một về vị trí mong muốn trên cung hàm. Trong đó:
- Niềng răng mắc cài: Phù hợp với các trường hợp răng lệch lạc nhiều, hô quá mức, răng chen chúc, sai khớp cắn phức tạp.
- Niềng răng Invisalign: Phù hợp với người trưởng thành, đặc biệt là những người có yêu cầu cao về thẩm mỹ trong quá trình điều trị.
Bọc răng sứ
Bọc răng sứ thường chỉ áp dụng cho trường hợp hô nhẹ, kết hợp với các vấn đề về hình dáng, màu sắc răng như răng sứt mẻ, mẻ vỡ, xỉn màu. Bọc răng sứ giúp cải thiện nhanh chóng thẩm mỹ răng, nhưng cần mài một phần răng thật, do đó không được khuyến khích cho các trường hợp hô quá nặng vì có thể ảnh hưởng đến sức khỏe răng.
Phương pháp điều trị răng hô do hàm
Phẫu thuật chỉnh hàm là phương pháp duy nhất để khắc phục hiệu quả tình trạng hô do sự phát triển quá mức của xương hàm. Phẫu thuật giúp điều chỉnh cấu trúc xương hàm về vị trí cân đối, cải thiện khớp cắn và thẩm mỹ khuôn mặt một cách rõ rệt. Tuy nhiên, đây là một phẫu thuật phức tạp, đòi hỏi bác sĩ có chuyên môn cao, kinh nghiệm và trang thiết bị hiện đại.
Phẫu thuật chỉnh hàm thường được chỉ định cho các trường hợp:
- Hô hàm trên quá nặng, ảnh hưởng lớn đến thẩm mỹ và chức năng ăn nhai.
- Hô hàm dưới gây móm hoặc lệch mặt.
- Sai khớp cắn nghiêm trọng do cấu trúc xương hàm.
Phương pháp điều trị răng hô do cả răng và hàm
Răng hô do cả răng và hàm là trường hợp phức tạp nhất, đòi hỏi sự kết hợp giữa phẫu thuật chỉnh hàm và niềng răng để đạt hiệu quả tối ưu. Vì tình trạng hô xuất phát từ cả hai yếu tố: răng và xương hàm, nên chỉ niềng răng sẽ không thể điều chỉnh được cấu trúc xương hàm, trong khi chỉ phẫu thuật sẽ không thể sắp xếp răng về vị trí lý tưởng trên cung hàm.
Phương pháp này được chỉ định cho các trường hợp:
- Vừa hô do răng chìa ra, vừa có sự phát triển quá mức của xương hàm.
- Sai khớp cắn nặng, ảnh hưởng đến cả thẩm mỹ và chức năng ăn nhai.
- Các trường hợp hô phức tạp, không thể điều trị hiệu quả chỉ bằng một phương pháp.
Quy trình điều trị kết hợp thường diễn ra như sau:
- Thăm khám và chẩn đoán: Bác sĩ sẽ đánh giá kỹ lưỡng tình trạng răng miệng, chụp X-quang, CT Cone Beam để xác định chính xác nguyên nhân và mức độ hô.
- Phẫu thuật chỉnh hàm: Thực hiện phẫu thuật để điều chỉnh cấu trúc xương hàm về vị trí đúng.
- Niềng răng: Sau khi phẫu thuật và xương hàm đã ổn định, bác sĩ sẽ tiến hành niềng răng để sắp xếp răng về vị trí lý tưởng trên cung hàm, hoàn thiện khớp cắn và thẩm mỹ.
Việc kết hợp cả hai phương pháp này giúp giải quyết triệt để vấn đề hô do cả răng và hàm, mang lại kết quả tối ưu về cả thẩm mỹ và chức năng. Tuy nhiên, đây là một quá trình điều trị dài, đòi hỏi sự kiên nhẫn và tuân thủ chặt chẽ theo hướng dẫn của bác sĩ.

Dịch vụ niềng răng tại Nha khoa Parkway
Tại Nha Khoa Parkway, chúng tôi hiểu rằng mỗi trường hợp răng hô là khác nhau. Vì vậy, việc thăm khám và tư vấn kỹ lưỡng với bác sĩ chuyên khoa là vô cùng quan trọng. Bác sĩ sẽ đánh giá tình trạng răng miệng, xác định nguyên nhân gây hô và đưa ra phác đồ điều trị phù hợp nhất với từng bệnh nhân.
Nha khoa Parkway là chuỗi hệ thống nha khoa uy tín toàn quốc, gồm nhiều dịch vụ từ cơ bản đến chuyên sâu, đáp ứng mọi nhu cầu của khách hàng, cho mọi lứa tuổi. Đặc biệt, Nha khoa Parkway tự hào trở thành chuỗi hệ thống nha khoa đầu tiên tại Việt Nam đạt danh hiệu Red Diamond Invisalign Provider – danh hiệu cao quý nhất trong hệ thống khay niềng trong suốt Invisalign trên toàn cầu. Đây không chỉ là sự công nhận về số lượng ca chỉnh nha Invisalign nhiều nhất Việt Nam mà còn khẳng định vị thế dẫn đầu trong lĩnh vực chỉnh nha tại Châu Á của Nha khoa Parkway.
Khi sử dụng các dịch vụ niềng răng tại Parkway, khách hàng có thể yên tâm bởi:
- Parkway luôn đặt lợi ích sức khỏe của khách hàng lên hàng đầu.
- Cơ sở vật chất hiện đại, trang thiết bị tối tân.
- Đội ngũ bác sĩ đầu ngành, bằng cấp rõ ràng, nhiều năm kinh nghiệm và tận tâm với khách hàng.
- Hệ thống chuỗi nha khoa 16 cơ sở khắp cả nước.
- Báo giá trọn gói, minh bạch, không phát sinh chi phí trong quá trình điều trị.
- Có hợp đồng cam kết hiệu quả điều trị rõ ràng.
- Mỗi bác sĩ sẽ theo dõi khách hàng xuyên suốt quá trình điều trị.
- Miễn phí khám, nhận phác đồ điều trị và chụp phim.
- Phương thức thanh toán linh hoạt.
Trên đây là bài viết chia sẻ về răng hô và cách khắc phục cho từng trường hợp hô vẩu cụ thể. Nha khoa Parkway hy vọng đã cung cấp được những kiến thức hữu ích, nếu bạn vẫn còn bất kỳ thắc mắc nào hãy liên hệ với chúng tôi để được tư vấn cụ thể hơn nhé!
Xem thêm: