Nghiến răng khi ngủ là tình trạng rối loạn vận động phổ biến ở cả người lớn và trẻ em, điều này không chỉ gây khó chịu cho những người xung quanh mà còn ảnh hưởng đến sức khỏe răng miệng, gây mòn men răng và những biến chứng khác. Vậy nguyên nhân từ đâu gây nên tình trạng nghiến răng khi ngủ? Cách khắc phục tình trạng này như thế nào? Cùng Nha khoa Parkway tìm hiểu qua bài viết sau đây nhé!
Thế nào là nghiến răng khi ngủ?
Nghiến răng là tình trạng hai hàm răng siết chặt vào nhau, tạo ra âm thanh ken két gây khó chịu. Tình trạng này có thể xảy ra một cách vô thức, cả khi bạn đang tỉnh táo hoặc trong lúc ngủ.
Nghiến răng khi ngủ hay còn gọi là bruxism, là một dạng rối loạn vận động trong giấc ngủ. Người mắc phải thường có biểu hiện nghiến hoặc siết chặt hàm một cách không tự chủ, thường không nhận thức được hành động này cho đến khi có triệu chứng hoặc được người khác thông báo.

Nghiến răng khi ngủ là một dạng rối loạn vận động trong giấc ngủ (Nguồn: Internet)
Nguyên nhân gây nên tình trạng nghiến răng khi ngủ
Tình trạng nghiến răng khi ngủ xảy ra có thể từ nhiều nguyên nhân khác nhau:
- Stress và căng thẳng: Đây có thể được xem là nguyên nhân hàng đầu gây nên tình trạng nghiến răng trong lúc ngủ. Khi gặp căng thẳng, dây thần kinh, cơ hàm có thể phản ứng mạnh mẽ bằng cách nghiến răng và nghiến chặt hai hàm lại với nhau.
- Rối loạn giấc ngủ: Một số rối loạn giấc ngủ có thể gây nên tình trạng nghiến răng khi ngủ như mất ngủ, chứng ngưng thở khi ngủ, hội chứng chân không yên.
- Các vấn đề răng và hàm: Răng bị xô lệch do mất răng quá lâu mà chưa được khắc phục dẫn đến tình trạng khớp cắn hở, khớp cắn đối đầu, khớp cắn chéo, lệch hàm và gây nên tình trạng nghiến răng.
- Di truyền: Những người có người thân từng hoặc đang mắc phải tình trạng này có nguy cơ cũng mắc phải tình trạng này.
- Sử dụng chất kích thích: Việc tiêu thụ quá nhiều cà phê, thuốc lá, rượu, bia cũng có thể gây nên tình trạng nghiến răng. Bởi các chất kích thích này có thể ức chế hệ thần kinh và gây nên sự hoạt động không kiểm soát của cơ hàm.
- Tác dụng phụ của thuốc: Một số loại thuốc như thuốc chống trầm cảm, giảm căng thẳng có tác dụng phụ có thể gây nên tình trạng nghiến răng khi ngủ.
- Xuất phát từ các yếu tố bên trong cơ thể: Các yếu tố như rối loạn nội tiết tố, rối loạn tiêu hóa, dị ứng thực phẩm, hoặc các bệnh ảnh hưởng đến hệ thần kinh trung ương như Down, động kinh, viêm màng não, Parkinson đều có thể góp phần làm nghiến răng trở nên nghiêm trọng ở cả người lớn và trẻ em.

Stress và căng thẳng là nguyên nhân hàng đầu gây nên tình trạng nghiến răng (Nguồn: Internet)
Tác hại của việc nghiến răng khi ngủ
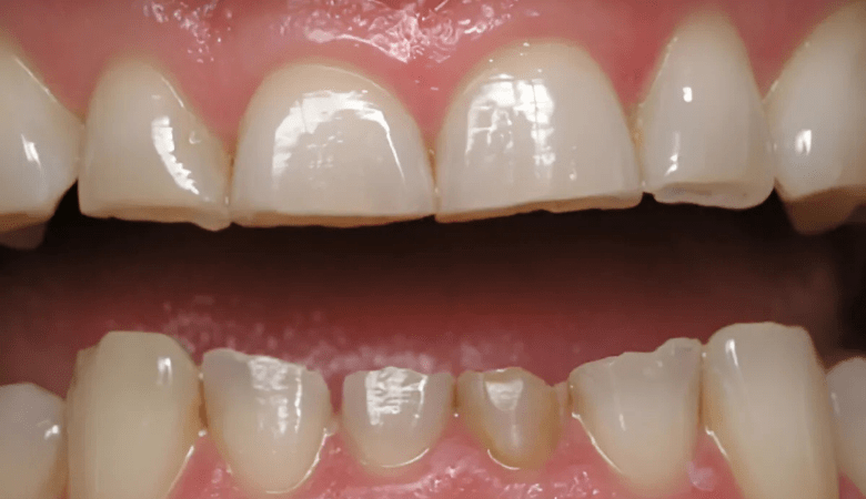
Phần lớn các trường hợp nghiến răng không gây ra biến chứng nghiêm trọng. Tuy nhiên, nếu nghiến răng ở mức độ nặng và thường xuyên, có thể dẫn đến nhiều tác hại như: tổn thương răng, xương hàm, ảnh hưởng đến các phục hình răng, mòn men răng làm tăng độ nhạy cảm, thậm chí gây gãy răng. Ngoài ra, tình trạng này còn có thể gây rối loạn khớp thái dương hàm, đau nhức đầu, đau mặt hoặc hàm nghiêm trọng và thậm chí làm biến dạng khuôn mặt.

Nghiến răng thường xuyên gây mòn men răng (Nguồn: Internet)
Khắc phục chứng nghiến răng khi ngủ
Nghiến răng nếu ở mức độ nhẹ thường không cần đến sự can thiệp y tế để điều trị. Tuy nhiên, với các trường hợp nghiêm trọng có nguy cơ ảnh hưởng đến sức khỏe, cần áp dụng phương pháp điều trị phù hợp. Mục tiêu của điều trị là giảm đau, bảo vệ răng, phục hình, duy trì chức năng của khớp thái dương hàm, và ngăn chặn tình trạng nghiến răng tái diễn.
Kiểm soát tâm trạng
Để khắc phục nghiến răng do căng thẳng, stress, cần áp dụng phương pháp giảm căng thẳng như thay đổi môi trường sống, duy trì thói quen tập thể dục thường xuyên, thư giãn và điều trị các chứng rối loạn giấc ngủ, ngủ đúng giờ, ngủ đủ giấc, tránh làm việc quá sức hoặc suy nghĩ căng thẳng đặc biệt là trước khi ngủ.
Người đang gặp tình trạng nghiến răng khi ngủ có thể nghe nhạc thư giãn, massage, tắm nước ấm và thực hiện các bài tập thể dục, yoga nhẹ nhàng để thư giãn tâm trí, thư giãn cơ thể và giảm nguy cơ nghiến răng khi ngủ.

Tập yoga thư giãn giúp cải thiện tình trạng nghiến răng (Nguồn: Internet)
Thay đổi thói quen
Để khắc phục tình trạng nghiến răng khi ngủ, bạn nên thay đổi thói quen hàng ngày, hạn chế sử dụng các chất kích thích như cà phê, rượu, thuốc lá và đặc biệt không nên sử dụng những sản phẩm này trước khi ngủ,
Bên cạnh đó, bạn nên duy trì thói quen ngủ đúng giờ, đảm bảo cơ thể ngủ đủ giấc để cơ thể được thư giãn nhất có thể.

Hạn chế rượu bia để cải thiện tình trạng nghiến răng (Nguồn: Internet)
Sử dụng thuốc
Một số loại thuốc có thể được sử dụng để khắc phục tình trạng nghiến răng khi ngủ. Cụ thể như sau:
- Thuốc giãn cơ: Trong một số trường hợp, bác sĩ có thể chỉ định sử dụng thuốc giãn cơ trước khi đi ngủ trong thời gian ngắn để giảm tình trạng nghiến răng.
- Tiêm Botox: Đây là phương pháp được áp dụng cho những trường hợp nghiến răng nghiêm trọng và không đáp ứng với các liệu pháp điều trị khác. Botox giúp làm giảm hoạt động của cơ nhai, từ đó hạn chế nghiến răng.
- Thuốc chống lo âu hoặc căng thẳng: Bác sĩ có thể đề nghị sử dụng thuốc chống trầm cảm hoặc thuốc chống lo âu trong thời gian ngắn để hỗ trợ giảm căng thẳng và kiểm soát các vấn đề cảm xúc góp phần gây nghiến răng.

Botox giúp làm giảm hoạt động của cơ nhai, từ đó hạn chế nghiến răng (Nguồn: Internet)
Can thiệp nha khoa
Can thiệp nha khoa là phương pháp giúp bảo vệ răng tránh khỏi những tác hại do tình trạng nghiến răng gây ra, đặc biệt trong lúc ngủ. Tuy nhiên, phương pháp này không đảm bảo điều trị dứt điểm tình trạng nghiến răng. Một giải pháp phổ biến là sử dụng máng chống nghiến, giúp bảo vệ bề mặt răng khỏi sự mài mòn.
Ngoài ra, một số loại máng còn có tác dụng hỗ trợ điều chỉnh thói quen vận động hàm, giúp giảm tần suất nghiến răng. Máng chống nghiến thường được làm từ vật liệu mềm hoặc acrylic cứng, tùy chỉnh theo kích thước hàm trên và hàm dưới của từng người.
Điều chỉnh khớp cắn cũng là một biện pháp nhằm giảm áp lực lên cơ nhai và răng. Trong trường hợp răng bị mòn nhiều hoặc trở nên nhạy cảm, bệnh nhân cần phục hồi hình dạng răng để tái lập sự cân đối giữa hai hàm, đảm bảo khớp cắn đúng và ổn định hơn.
Nếu tình trạng nghiến răng khi ngủ gây phiền toái nghiêm trọng, ảnh hưởng đến sức khỏe và chất lượng cuộc sống, nhưng các biện pháp can thiệp tại nhà không mang lại hiệu quả, bạn hãy đến Nha khoa Parkway để được bác sĩ thăm khám và tư vấn nhé!
Xem thêm: