Sưng nướu răng là tình trạng phổ biến có thể ảnh hưởng nghiêm trọng đến sức khỏe răng miệng nếu không được điều trị kịp thời. Nguyên nhân gây sưng nướu thường bắt nguồn từ việc vệ sinh răng miệng kém, thiếu hụt dưỡng chất hoặc các yếu tố toàn thân như thay đổi nội tiết tố, bệnh lý nền. Vậy làm thế nào để nhận biết sớm dấu hiệu viêm nướu và có cách khắc phục hiệu quả ngay tại nhà? Hãy cùng Nha khoa Parkway tìm hiểu chi tiết trong bài viết dưới đây.
Sưng nướu răng là tình trạng gì?
Sưng nướu răng hay còn gọi là viêm nướu, là hiện tượng mô nướu bị viêm do sự xâm nhập và phát triển của vi khuẩn trong các mảng bám không được làm sạch triệt để. Nguyên nhân chủ yếu xuất phát từ thói quen chăm sóc răng miệng kém hiệu quả, khiến vi khuẩn tích tụ lâu ngày gây tổn thương đến mô nướu. Đây là một vấn đề răng miệng khá phổ biến, có thể xảy ra ở cả trẻ em lẫn người lớn. Mặc dù không phải là bệnh lý nguy hiểm, nhưng nếu không được phát hiện và can thiệp kịp thời, sưng nướu có thể tiến triển nặng hơn, ảnh hưởng đến sức khỏe răng miệng tổng thể.

Sưng nướu răng là hiện tượng mô nướu bị viêm do sự xâm nhập và phát triển của vi khuẩn trong các mảng bám không được làm sạch triệt để (Nguồn: Internet)
Dấu hiệu sưng nướu răng
Triệu chứng sưng nướu có thể biểu hiện khác nhau ở từng người, tuy nhiên, một số dấu hiệu thường gặp giúp nhận biết tình trạng này bao gồm:
- Màu sắc nướu chuyển từ hồng nhạt sang đỏ đậm, cho thấy dấu hiệu viêm.
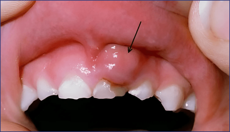
- Vùng nướu bị sưng có thể xuất hiện túi mủ, gây phồng má hoặc sưng mặt, kèm theo hiện tượng chảy máu khi chạm nhẹ.
- Cảm giác đau nhức kéo dài khiến người bệnh khó ăn uống, dễ sinh ra cảm giác mệt mỏi và chán ăn.
- Nướu trở nên nhạy cảm với các loại thực phẩm có vị cay, mặn hoặc nhiệt độ quá nóng, quá lạnh.
- Miệng có mùi hôi khó chịu dù đã vệ sinh răng miệng thường xuyên.
- Nướu có dấu hiệu co rút hoặc tách khỏi chân răng, khiến răng lung lay nhẹ.
- Trong những trường hợp viêm nướu có mủ, người bệnh có thể kèm theo các triệu chứng toàn thân như sốt, đau đầu, khó ngủ do đau âm ỉ kéo dài.

Vùng nướu bị sưng xuất hiện túi mủ (Nguồn: Internet)
Nguyên nhân gây nên tình trạng sưng nướu răng
Tình trạng sưng nướu ở vùng chân răng có thể bắt nguồn từ nhiều yếu tố khác nhau. Việc xác định đúng nguyên nhân là bước quan trọng giúp quá trình điều trị đạt hiệu quả tối ưu.
Vệ sinh răng miệng không đúng cách
Một trong những nguyên nhân hàng đầu gây viêm và sưng nướu là do thói quen chăm sóc răng miệng chưa khoa học. Khi mảng bám và vụn thức ăn không được làm sạch triệt để, vi khuẩn sẽ có cơ hội sinh sôi và tấn công men răng cũng như mô nướu. Lâu ngày, vi khuẩn tiết ra độc tố làm phá vỡ cấu trúc gắn kết giữa răng và nướu, gây viêm nhiễm, sưng tấy và đau nhức.
Ngoài ra, vệ sinh răng miệng với lực mạnh gây tổn thương vùng răng nưới, tạo điều kiện cho vi khuẩn gây viêm nhiễn, sưng tấy.

Đánh răng với lực quá mạnh gây tổn thương nướu (Nguồn: Internet)
Thiếu hụt vitamin và khoáng chất
Chế độ ăn nghèo dưỡng chất, đặc biệt là thiếu vitamin C và vitamin nhóm B, khiến nướu dễ bị tổn thương và khó phục hồi. Thiếu vitamin C kéo dài có thể dẫn đến bệnh Scorbut, đặc trưng bởi triệu chứng sưng viêm nướu, nướu dễ chảy máu và đau nhức kéo dài.

Thiếu hụt vitamin và khoáng chất khiến nướu dễ bị tổn thương (Nguồn: Internet)
Răng khôn mọc lệch hoặc mọc ngầm
Quá trình mọc răng khôn thường khiến phần nướu phía sau hàm bị sưng đỏ, đau nhức do răng chen chúc hoặc đâm vào răng kế cận. Mảnh thức ăn dễ bị mắc kẹt ở khu vực này, hình thành ổ vi khuẩn gây viêm lợi trùm, dẫn đến sưng nướu, hôi miệng, thậm chí chảy mủ.

Quá trình mọc răng khôn cũng khiến phần nướu sau bị sưng đỏ (Nguồn: Internet)
Thay đổi nội tiết tố khi mang thai
Phụ nữ mang thai thường gặp tình trạng nướu răng nhạy cảm, dễ sưng viêm hơn bình thường. Nguyên nhân là do sự biến động nội tiết làm giảm khả năng đề kháng với vi khuẩn trong khoang miệng, tạo điều kiện cho vi khuẩn gây viêm phát triển mạnh hơn.

Phụ nữ mang thai nội tiết tố thay đổi giảm khả năng đề kháng với vi khuẩn (Nguồn: Internet)
Các yếu tố tác động khác
Ngoài những nguyên nhân phổ biến kể trên, sưng nướu chân răng còn có thể là hậu quả của một số yếu tố sau:
- Sử dụng mắc cài chỉnh nha, hàm giả hoặc khí cụ nha khoa không phù hợp.
- Dùng bàn chải răng có lông quá cứng hoặc chải răng với lực quá mạnh.
- Dị vật như xương cá, vảy cá, thức ăn bị kẹt trong nướu.
- Ăn thực phẩm cứng, dẻo hoặc có khả năng gây tổn thương mô nướu.
- Lấy cao răng không đúng kỹ thuật gây tổn thương mô mềm.
- Phản ứng phụ từ thuốc điều trị (như thuốc chống động kinh, thuốc điều trị tăng huyết áp,…).
- Thói quen hút thuốc lá, sử dụng sản phẩm chứa Nicotin.
- Các bệnh lý toàn thân như tiểu đường, rối loạn miễn dịch, nhiễm trùng huyết,… cũng có thể ảnh hưởng đến sức khỏe nướu răng.
Cách khắc phục sưng nướu răng hiệu quả ngay tại nhà
Nếu tình trạng sưng nướu kéo dài quá 2 tuần mà không có dấu hiệu thuyên giảm, bạn nên đến ngay cơ sở nha khoa uy tín để được thăm khám và điều trị kịp thời. Tuy nhiên, trong thời gian chờ đợi lịch hẹn hoặc để giảm triệu chứng tạm thời, bạn có thể áp dụng một số biện pháp hỗ trợ tại nhà dưới đây:
- Đánh răng đúng cách 2 lần mỗi ngày: Sử dụng bàn chải lông mềm kết hợp kem đánh răng có chứa fluoride giúp loại bỏ mảng bám và hạn chế vi khuẩn phát triển.
- Dùng chỉ nha khoa hàng ngày: Làm sạch kẽ răng bằng chỉ nha khoa giúp loại bỏ thức ăn thừa – nguyên nhân gây viêm nướu phổ biến.
- Súc miệng bằng nước muối ấm: Nước muối có đặc tính kháng khuẩn nhẹ, giúp làm dịu nướu và giảm viêm hiệu quả.
- Chườm lạnh bên ngoài vùng má: Dùng túi đá lạnh bọc khăn chườm vào vùng bị sưng trong 10–15 phút để giảm sưng tấy và cảm giác đau nhức.
- Xây dựng chế độ ăn uống khoa học: Hạn chế tiêu thụ thực phẩm nhiều đường, đồ cay nóng hoặc có chứa caffeine; thay vào đó nên bổ sung thực phẩm giàu vitamin C và B.
- Sử dụng sản phẩm giảm đau tại chỗ: Các loại gel bôi hoặc nước súc miệng có chứa benzocaine có thể giúp giảm đau tạm thời tại vùng nướu bị tổn thương.
- Khám nha khoa định kỳ 6 tháng/lần: Việc kiểm tra răng miệng thường xuyên giúp phát hiện sớm các dấu hiệu viêm nướu và phòng ngừa bệnh lý tiến triển nặng hơn.

Súc miệng bằng nước muối ấm giúp làm sạch vi khuẩn tron khoang miệng hỗ trợ quá trình điều trị sưng nướu răng (Nguồn: Internent)
Cách phòng ngừa sưng nướu răng
Chủ động chăm sóc và bảo vệ nướu răng mỗi ngày là cách tốt nhất để ngăn ngừa tình trạng sưng viêm nướu. Dưới đây là những biện pháp đơn giản nhưng mang lại hiệu quả lâu dài mà bạn nên áp dụng càng sớm càng tốt:
- Đánh răng đúng cách ít nhất hai lần mỗi ngày: Sử dụng bàn chải lông mềm và thao tác nhẹ nhàng, kết hợp với chỉ nha khoa để loại bỏ mảng bám ở những vị trí khó tiếp cận như kẽ răng.
- Thăm khám nha khoa định kỳ 6 tháng/lần: Việc kiểm tra răng miệng thường xuyên giúp phát hiện sớm các vấn đề tiềm ẩn ở nướu và thực hiện làm sạch chuyên sâu để phòng tránh viêm nhiễm.
- Hạn chế sử dụng chất kích thích: Từ bỏ thuốc lá và hạn chế rượu bia không chỉ giúp bảo vệ sức khỏe toàn thân mà còn cải thiện sức đề kháng của mô nướu trước sự tấn công của vi khuẩn.
- Tăng cường bổ sung vitamin C: Bổ sung đầy đủ vitamin C từ rau xanh, trái cây tươi hoặc thực phẩm chức năng giúp hỗ trợ quá trình tái tạo mô nướu và nâng cao sức khỏe răng miệng.
- Massage nướu nhẹ nhàng mỗi ngày: Việc xoa bóp nhẹ vùng nướu bằng đầu ngón tay sạch hoặc bàn chải chuyên dụng giúp kích thích tuần hoàn máu, tăng cường độ bền chắc và giảm nguy cơ viêm nướu.

Để phòng ngừa sưng nướu răng bạn nên khám nha khoa định kỳ (Nguồn: Internet)
Khắc phục tình trạng sưng nướu răng tại Nha khoa Parkway
Sưng nướu răng nếu bạn đã áp dụng những cách khắc phục tại nhà nhưng vẫn không thuyên giảm, bạn nên đến nha khoa kiểm tra và khắc phục. Lựa chọn nha khoa uy tín cũng là yếu tố quyết định đến kết quả răng miệng.
Nha khoa Parkway là chuỗi hệ thống nha khoa uy tín toàn quốc, gồm nhiều dịch vụ từ cơ bản đến chuyên sâu, đáp ứng mọi nhu cầu của khách hàng, cho mọi lứa tuổi. Khi sử dụng dịch vụ tổng quát tại Parkway, khách hàng có thể yên tâm bởi:
- Parkway luôn đặt lợi ích sức khỏe của khách hàng lên hàng đầu.
- Đội ngũ bác sĩ đầu ngành, bằng cấp rõ ràng, nhiều năm kinh nghiệm và tận tâm với khách hàng.
- Cơ sở vật chất hiện đại, trang thiết bị tối tân.
- Hệ thống chuỗi nha khoa 16 cơ sở khắp cả nước.
- Báo giá trọn gói, minh bạch, không phát sinh chi phí trong quá trình điều trị.
- Phương thức thanh toán linh hoạt.
Trên đây là nội dung bài sưng nướu răng do đâu? Cách khắc phục sưng nướu răng hiệu quả. Hy vọng Nha khoa Parkway đã cung cấp thông tin hữu ích giúp bạn bảo vệ sức khỏe răng miệng thật tốt.
Xem thêm: