Viêm nướu răng là tình trạng viêm nhiễm, sưng đỏ ở vùng mô lợi xung quanh răng. Tình trạng này nếu không được khắc phục kịp thời sẽ có thể phát triển thành viêm nha chu hay nghiêm trọng hơn có thể làm mất răng. Hãy cùng Nha khoa Parkway tìm hiểu về nguyên nhân, dấu hiệu qua những hình ảnh viêm nướu răng và lựa chọn cách khắc phục, chăm sóc hiệu quả qua bài viết sau đây nhé!
Viêm nướu răng là bệnh lý gì?
Viêm nướu răng hay còn gọi là viêm lợi, là một tình trạng nhiễm trùng ở phần mô bao quanh răng. Bệnh xảy ra khi vi khuẩn tích tụ trong mảng bám và cao răng, chúng sản sinh ra độc tố gây kích ứng vùng lợi. Nếu không được điều trị kịp thời, viêm nướu răng có thể chuyển sang viêm nha chu, nghiêm trọng hơn có thể làm mất răng.
Triệu chứng viêm nướu răng
Ở trạng thái bình thường, khỏe mạnh, nướu sẽ ôm sát chân răng và có màu hồng nhạt. Nếu nướu răng bị viêm thì sẽ có những triệu chứng như sau:
- Nướu sưng tấy và phồng lên: Nướu có biểu hiện sưng, căng bất thường.
- Thay đổi màu sắc nướu: Nướu chuyển sang màu đỏ hoặc hồng đậm hơn so với trạng thái khỏe mạnh.
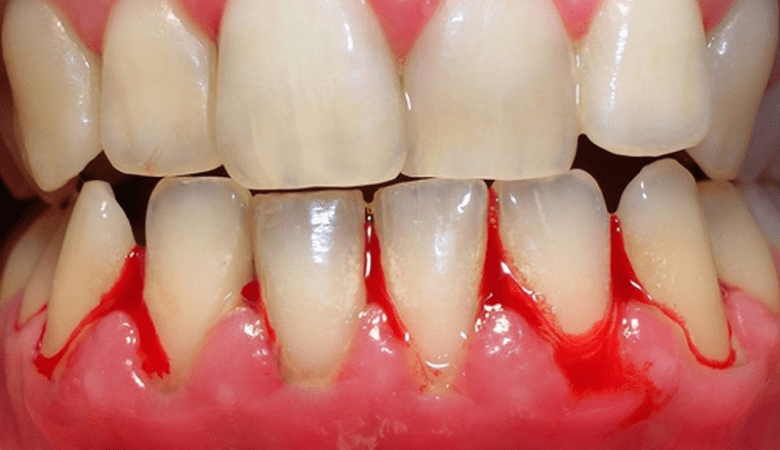
- Chảy máu nướu: Dễ bị chảy máu khi đánh răng, dùng chỉ nha khoa, hoặc có va chạm nhẹ.
- Hơi thở có mùi khó chịu: Miệng xuất hiện mùi hôi hoặc tanh do máu.
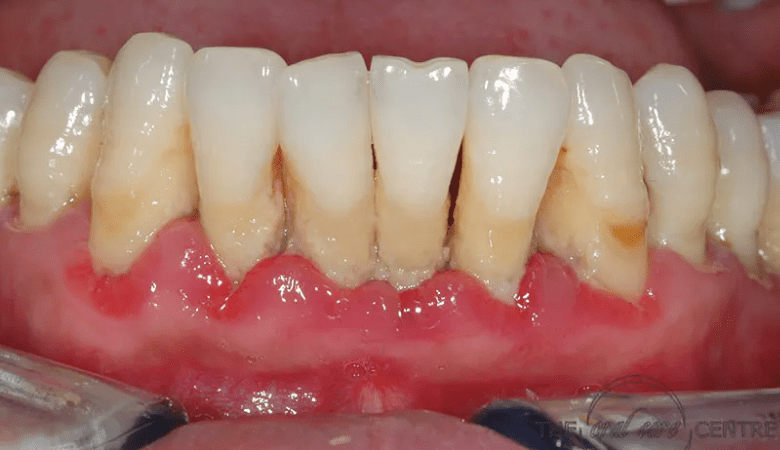
- Nướu mềm và tụt khỏi chân răng: Nướu trở nên nhạy cảm, mềm yếu và có xu hướng tụt dần, để lộ chân răng.
- Thay đổi cảm giác khi nhai: Cảm giác ăn khớp giữa các răng thay đổi, gây khó chịu khi ăn nhai.
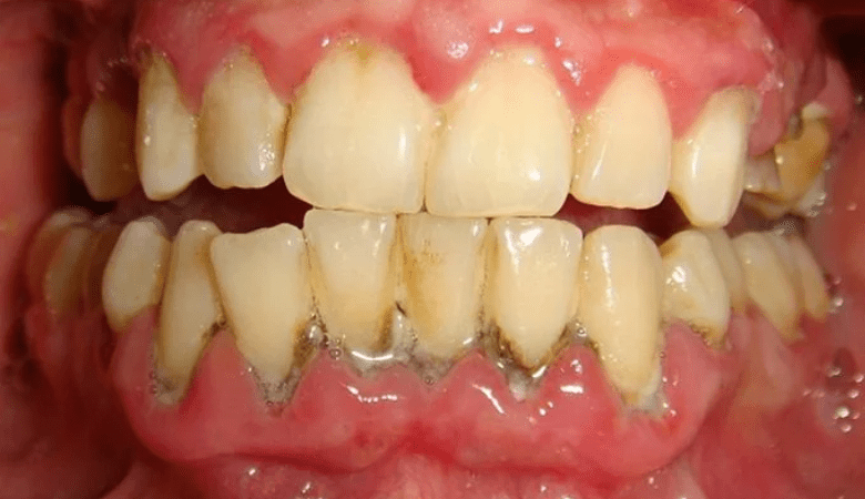
Hình ảnh viêm nướu răng

Tụt nướu là một trong những dấu hiệu viêm nướu răng (Nguồn: Internet)

Chảy máu chân răng khi bị viêm nướu răng (nguồn: Internet)

Viêm nướu răng chuyển biến nặng (Nguồn: Internet)

Viêm nướu răng gây chảy máu chân răng (Nguồn: Internet)

Viêm nướu răng ở mức độ nặng (Nguồn: Internet)

Quá nhiều cao răng lâu ngày gây viêm nướu răng (Nguồn: Internet)
Nguyên nhân viêm nướu răng
Hút thuốc lá
Người thuốc lá thường có nguy cơ cao mắc các bệnh về nướu hơn người bình thường. Điều này không chỉ ảnh hưởng đến sức khỏe của nướu mà còn gây hại nghiêm trọng cho toàn bộ khoang miệng. Vì vậy, để bảo vệ sức khỏe răng miệng và duy trì nụ cười rạng rỡ, hãy từ bỏ thuốc lá ngay hôm nay!
Vệ sinh răng miệng không đúng cách
Việc vệ sinh răng miệng không đúng cách, đánh răng không đúng kỹ thuật, không kết hợp sử dụng chỉ nha khoa và nước súc miệng để loại bỏ hoàn toàn vi khuẩn trong khoang miệng. Do đó, vi khuẩn và mảng bám còn tồn đọng lại trong khoang miệng, từ đó dẫn đến viêm nướu răng.
Do căng thẳng, lo âu kéo dài
Căng thẳng và lo âu kéo dài có thể làm suy yếu hệ thống miễn dịch, khiến cơ thể giảm khả năng chống lại viêm nhiễm. Khi đó, vi khuẩn dễ dàng xâm nhập vào vùng chân răng, làm tăng nguy cơ viêm nướu và các vấn đề răng miệng khác. Do đó, việc duy trì tinh thần thoải mái và quản lý căng thẳng không chỉ tốt cho sức khỏe tổng thể mà còn góp phần bảo vệ răng nướu hiệu quả.
Thay đổi nội tiết
Trong các giai đoạn như mang thai, mãn kinh, dậy thì hoặc chu kỳ kinh nguyệt, nướu răng thường trở nên nhạy cảm hơn do sự thay đổi nội tiết tố trong cơ thể. Sự nhạy cảm này làm tăng nguy cơ vi khuẩn tấn công, dẫn đến viêm nhiễm và các vấn đề về nướu. Vì vậy, trong những thời điểm này, việc chăm sóc răng miệng cẩn thận và duy trì thói quen vệ sinh đúng cách là đặc biệt quan trọng.
Chế độ dinh dưỡng không khoa học
Thiếu hụt dinh dưỡng có thể khiến cơ thể không đủ năng lượng, làm suy giảm hệ miễn dịch và giảm khả năng chống lại nhiễm trùng. Điều này dẫn đến nguy cơ cao bị viêm nướu và các vấn đề răng miệng khác. Để bảo vệ sức khỏe nướu răng, hãy duy trì chế độ ăn uống đầy đủ dinh dưỡng, đặc biệt bổ sung các vitamin và khoáng chất cần thiết như vitamin C, D và canxi.
Do tác dụng phụ của thuốc
Tác dụng phụ của một số loại thuốc điều trị bệnh lý có thể ảnh hưởng tiêu cực đến sức khỏe răng miệng, đặc biệt là nướu răng. Các loại thuốc này có thể gây khô miệng, thay đổi cấu trúc mô nướu hoặc làm suy yếu khả năng bảo vệ tự nhiên của nướu, tạo điều kiện cho vi khuẩn phát triển và dẫn đến viêm nhiễm. Vì vậy, khi sử dụng thuốc, hãy tham khảo ý kiến bác sĩ để được hướng dẫn cách bảo vệ răng miệng hiệu quả.
Mắc các bệnh mạn tính
Người mắc các bệnh mạn tính như tiểu đường, ung thư, hoặc HIV thường có hệ thống miễn dịch suy yếu, làm giảm khả năng chống lại vi khuẩn và nhiễm trùng. Điều này khiến họ dễ gặp phải các vấn đề về răng miệng, đặc biệt là viêm nướu. Việc quản lý tốt tình trạng bệnh lý nền và duy trì vệ sinh răng miệng đúng cách là điều cần thiết để giảm thiểu nguy cơ mắc các bệnh lý nướu răng.
Cách phòng ngừa viêm nướu răng
Để phòng ngừa viêm nướu răng, bạn có thể áp dụng những cách dưới đây:
- Đánh răng đúng cách: Đánh răng ít nhất 2 lần/ngày vào sáng và tối, đảm bảo làm sạch toàn bộ vùng nướu răng.
- Sử dụng bàn chải mềm: Chọn bàn chải có kích thước phù hợp với khoang miệng và đầu bàn chải mềm để tránh làm tổn thương nướu.
- Kết hợp nước súc miệng và chỉ nha khoa: Sử dụng nước súc miệng, chỉ nha khoa và các sản phẩm vệ sinh răng miệng khác để làm sạch sâu, loại bỏ hoàn toàn vi khuẩn trong khoang miệng.
- Chế độ ăn uống lành mạnh: Ăn đa dạng các loại thực phẩm giàu dinh dưỡng, bổ sung đủ vitamin và khoáng chất. Hạn chế các thực phẩm chứa nhiều đường để giảm nguy cơ sâu răng và viêm nướu.
- Thăm khám nha khoa định kỳ: Đến nha khoa để được bác sĩ thăm khám ít nhất 2 lần mỗi năm để kiểm tra và phòng ngừa các bệnh lý răng miệng.
- Tập thể dục thể thao: Giữ cơ thể khỏe mạnh để tăng cường hệ miễn dịch, giúp bảo vệ sức khỏe răng miệng.
- Quản lý căng thẳng: Tránh căng thẳng, lo âu quá mức để duy trì sức khỏe tổng thể và hệ miễn dịch mạnh mẽ.

Vệ sinh răng miệng đúng cách để phòng ngừa viêm nướu răng (Nguồn: Internet)
Dịch vụ điều trị viêm nướu răng tại Nha khoa Parkway
Viêm nướu răng là bệnh về nướu phổ biến, nếu không được khắc phục sớm sẽ gây ra nhiều hậu quả nghiêm trọng. Việc lựa chọn nha khoa uy tín chất lượng cũng là yếu tố quan trọng quyết định đến kết quả điều trị viêm nướu răng.
Nha khoa Parkway là chuỗi hệ thống nha khoa uy tín toàn quốc, gồm nhiều dịch vụ từ cơ bản đến chuyên sâu, đáp ứng mọi nhu cầu của khách hàng, cho mọi lứa tuổi. Khi sử dụng dịch vụ tổng quát tại Parkway, khách hàng có thể yên tâm bởi:
- Parkway luôn đặt lợi ích sức khỏe của khách hàng lên hàng đầu.
- Đội ngũ bác sĩ đầu ngành, bằng cấp rõ ràng, nhiều năm kinh nghiệm và tận tâm với khách hàng.
- Cơ sở vật chất hiện đại, trang thiết bị tối tân.
- Hệ thống chuỗi nha khoa 16 cơ sở khắp cả nước.
- Báo giá trọn gói, minh bạch, không phát sinh chi phí trong quá trình điều trị.
Hy vọng bài viết này sẽ giúp bạn hiểu rõ hơn về những dấu hiệu, hình ảnh viêm nướu răng để sớm nhận biết tình trạng và kịp thời khắc phục. Nếu bạn cần thêm thông tin hoặc có câu hỏi, hãy liên hệ với Nha khoa Parkway để được tư vấn chi tiết hơn!
Xem thêm: