Sún răng là tình trạng hay gặp ở trẻ nhỏ, đặc biệt các bé từ 1 – 3 tuổi. Tình trạng này gây ra nhiều hệ lụy như răng bị mòn, kém thẩm mỹ và có nguy cơ gây ra nhiều bệnh lý răng miệng khác. Để biết được nguyên nhân, cách xử lý và cách phòng ngừa sún răng cho bé như thế nào, hãy cùng Nha khoa Parkway tham khảo bài viết sau đây nhé!
Sún răng là gì?
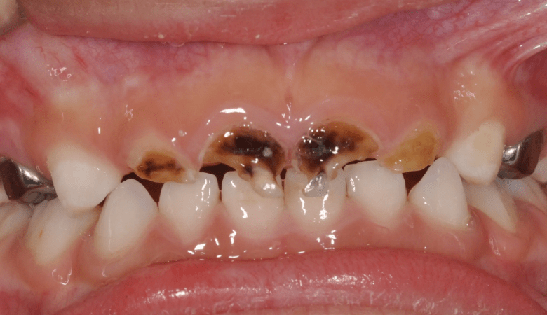
Sún răng là tình trạng men răng bị tổn thương và mòn dần do tác động của axit, thường hình thành từ vi khuẩn trong mảng bám răng kết hợp với đường từ thức ăn. Quá trình này diễn ra từ từ, ban đầu chỉ là những đốm trắng đục trên bề mặt răng, sau đó chuyển sang màu vàng hoặc nâu, cuối cùng tạo thành lỗ hổng trên răng. Sún răng khác với sâu răng ở chỗ nó thường xuất hiện ở nhiều răng cùng lúc và lan rộng hơn trên bề mặt răng, trong khi sâu răng thường khu trú ở một điểm.
Sún răng không chỉ ảnh hưởng đến thẩm mỹ mà còn gây khó khăn trong việc ăn nhai, phát âm của trẻ. Nếu không được điều trị kịp thời, sún răng có thể tiến triển nặng hơn, gây đau nhức, nhiễm trùng và ảnh hưởng đến sự phát triển của răng vĩnh viễn sau này. Vì vậy, việc nhận biết sớm và có biện pháp xử lý kịp thời là vô cùng quan trọng.

Sún răng là tình trạng men răng bị tổn thương và mòn dần do tác động của axit (Nguồn: Internet)
Nguyên nhân gây sún răng ở trẻ
Có nhiều nguyên nhân dẫn đến tình trạng sún răng ở trẻ, cụ thể như sau:
- Vệ sinh răng miệng kém: Đây là nguyên nhân hàng đầu gây nên tình trạng sún răng, việc không đánh răng thường xuyên hoặc đánh răng không đúng cách tạo điều kiện cho vi khuẩn phát triển và tấn công men răng. Đặc biệt, cho trẻ ngậm mút bình sữa hoặc ăn đồ ngọt trước khi đi ngủ mà không vệ sinh răng miệng sẽ làm tăng nguy cơ sún răng.
- Chế độ ăn uống nhiều đường: Đường là nguồn thức ăn lý tưởng cho vi khuẩn phát triển trong khoang miệng. Khi trẻ tiêu thụ nhiều đồ ngọt, vi khuẩn sẽ chuyển hóa đường thành axit, làm bào mòn men răng.
- Thiếu Fluor: Fluor là một khoáng chất quan trọng giúp răng chắc khỏe và chống lại axit. Thiếu Fluor có thể làm răng yếu hơn và dễ bị sún.
- Di truyền: Yếu tố di truyền cũng có thể đóng vai trò trong việc răng dễ bị sún. Nếu cha mẹ có men răng yếu, con cái cũng có thể thừa hưởng đặc điểm này.
- Nước bọt: Nước bọt có vai trò trung hòa axit trong miệng. Nếu lượng nước bọt tiết ra ít, khả năng trung hòa axit sẽ kém, tạo điều kiện cho sún răng phát triển.

Trẻ em tiêu thu nhiều đồ ngọt cũng là nguyên nhân gây nên tình trạng sún răng (Nguồn: Internet)
Dấu hiệu cho thấy trẻ sún răng
Việc nhận biết sớm các dấu hiệu sún răng ở trẻ là rất quan trọng để có biện pháp can thiệp kịp thời. Một số dấu hiệu thường gặp bao gồm:
- Xuất hiện các đốm trắng đục hoặc vàng nâu trên bề mặt răng: Đây là dấu hiệu sớm nhất của sún răng. Các đốm này thường xuất hiện ở cổ răng, gần nướu.
- Răng bị mòn, cụt: Khi tình trạng sún răng tiến triển, răng sẽ bị mòn dần, đặc biệt là ở rìa cắn của răng cửa.
- Răng bị đen, có lỗ: Nếu không được điều trị, các đốm trắng sẽ chuyển sang màu đen và hình thành các lỗ sâu.
- Trẻ bị đau răng, khó chịu khi ăn nhai: Khi sún răng ăn sâu vào tủy răng, trẻ sẽ cảm thấy đau nhức, đặc biệt là khi ăn đồ nóng, lạnh hoặc ngọt.

Răng xuất hiện những đốm trắng dần chuyển sang vàng và nâu (Nguồn: Internet)
Cách xử lý khi trẻ bị sún răng
Khi phát hiện trẻ bị sún răng, việc đầu tiên cha mẹ cần làm là đưa trẻ đến nha khoa hoặc cơ sở y tế chuyên khoa để được bác sĩ thăm khám và tư vấn. Tùy thuộc vào mức độ sún răng, bác sĩ sẽ đưa ra phương pháp điều trị phù hợp:
- Tái khoáng hóa men răng: Đối với các trường hợp sún răng nhẹ, bác sĩ có thể sử dụng các sản phẩm chứa Fluor để tái khoáng hóa men răng.
- Trám răng: Đối với các lỗ sâu nhỏ, sẽ tiến hành trám răng để ngăn chặn sự tiến triển của sâu răng.
- Nhổ răng: Trong trường hợp răng bị sún quá nặng, không thể phục hồi, sẽ phải nhổ răng để tránh ảnh hưởng đến các răng khác.
Ngoài việc điều trị tại nha khoa, cha mẹ cũng cần chú ý chăm sóc răng miệng cho trẻ tại nhà bằng cách hướng dẫn trẻ chải răng đúng cách, sử dụng kem đánh răng có fluor và hạn chế ăn đồ ngọt.
Cách phòng ngừa sún răng cho trẻ
Vệ sinh răng đúng cách
Vệ sinh răng miệng đúng cách là yếu tố quan trọng hàng đầu trong việc phòng ngừa sún răng. Cha mẹ nên hướng dẫn trẻ đánh răng ít nhất 2 lần/ ngày, vào buổi sáng và buổi tối trước khi đi ngủ.
Sử dụng bàn chải lông mềm và kem đánh răng có fluor phù hợp với độ tuổi của trẻ. Đánh răng nhẹ nhàng theo vòng tròn hoặc chiều dọc, đảm bảo sạch tất cả các mặt răng. Đối với trẻ nhỏ chưa tự đánh răng được, cha mẹ cần hỗ trợ đánh răng cho trẻ.

Cha mẹ hướng dẫn bé đánh răng 2 lần/ ngày (Nguồn: Internet)
Lưu ý về thực đơn cho bé
Chế độ ăn uống đóng vai trò quan trọng trong việc phòng ngừa sún răng. Hạn chế cho trẻ ăn đồ ngọt, bánh kẹo, nước ngọt có gas, đặc biệt là vào buổi tối trước khi đi ngủ.
Khuyến khích trẻ ăn nhiều rau xanh, trái cây và các thực phẩm giàu canxi để răng chắc khỏe. Sau khi ăn, nên cho trẻ súc miệng bằng nước sạch hoặc nước muối sinh lý để loại bỏ mảng bám và axit trong miệng.
Loại bỏ những thói quen xấu
Một số thói quen xấu như mút tay, ngậm mút bình sữa, ngậm ti giả, ngậm đồ vật cũng có thể góp phần gây sún răng. Cha mẹ cần quan tâm và giúp trẻ từ bỏ những thói quen này để hạn chế tình trạng sún răng.

Loại bỏ thói quen mút tay để hạn chế tình trạng sún răng (Nguồn: Internet)
Đưa trẻ khám răng định kỳ
Việc đưa trẻ đi khám răng định kỳ 6 tháng một lần là rất quan trọng để phát hiện sớm các vấn đề răng miệng và có biện pháp xử lý kịp thời. Nha sĩ sẽ kiểm tra tình trạng răng miệng của trẻ, tư vấn về cách chăm sóc răng miệng và có thể thực hiện các biện pháp phòng ngừa như trám bít hố rãnh hoặc bôi fluor.
Phân biệt sún răng và sâu răng ở trẻ
Nhiều cha mẹ thường nhầm lẫn giữa sún răng và sâu răng. Tuy nhiên, đây là hai tình trạng khác nhau và có cách điều trị khác nhau.
Sún răng thường xuất hiện ở nhiều răng cùng lúc, lan rộng trên bề mặt răng và có màu vàng hoặc nâu. Trong khi đó, sâu răng thường khu trú ở một điểm, có màu đen và ăn sâu vào bên trong răng.
Việc phân biệt rõ sún răng và sâu răng sẽ giúp cha mẹ có hướng xử lý đúng đắn và hiệu quả. Nếu có bất kỳ thắc mắc nào, hãy đưa trẻ đến nha khoa để được bác sĩ thăm khám và tư vấn cụ thể nhé!
Dịch vụ nha khoa trẻ em tại Nha khoa Parkway
Sún răng là tình trạng thường hay gặp ở trẻ em, tuy không gây nên cảm giác đau nhưng làm răng bị tụt xuống lợi, chân răng trở nên đen và cứng. Nếu tình trạng này kéo dài sẽ ảnh hưởng nghiêm trọng đến sức khỏe của bé, do đó ba mẹ cần đưa bé đến cơ sở nha khoa để được bác sĩ thăm khám và khắc phục sớm. Lựa chọn nha khoa uy tín, chất lượng là yếu tố quan trọng quyết định đến kết quả.
Nha khoa Parkway là chuỗi hệ thống nha khoa uy tín toàn quốc, gồm nhiều dịch vụ từ cơ bản đến chuyên sâu, đáp ứng mọi nhu cầu của khách hàng, cho mọi lứa tuổi. Khi sử dụng dịch vụ nha khoa trẻ em tại Parkway, phụ huynh có thể yên tâm bởi:
- Parkway luôn đặt lợi ích sức khỏe của bé lên hàng đầu.
- Đội ngũ bác sĩ đầu ngành, bằng cấp rõ ràng, nhiều năm kinh nghiệm và tận tâm với các bé.
- Cơ sở vật chất hiện đại, trang thiết bị tối tân.
- Hệ thống chuỗi nha khoa 16 cơ sở khắp cả nước.
- Báo giá trọn gói, minh bạch, không phát sinh chi phí trong quá trình điều trị.
Hy vọng bài viết này sẽ giúp bạn hiểu rõ hơn về sún răng, có thể phân biệt được sún răng và sâu răng để có thể có hướng xử lý đúng đắn cho bé. Nếu bạn cần thêm thông tin hoặc có câu hỏi, hãy liên hệ với Nha khoa Parkway để được tư vấn chi tiết hơn!
Xem thêm: