Cắt nướu tạo hình là một trong những phương pháp thuộc lĩnh vực nha chu, mang lại nụ cười tự tin mà không làm tổn hại đến răng thật. Vậy cắt nướu tạo hình là phương pháp gì? Những trường hợp nào nên cắt nướu tạo hình? Hãy cùng Nha khoa Parkway tìm hiểu qua bài viết sau nhé!
Cắt nướu tạo hình là phương pháp gì?
Cắt nướu tạo hình còn được gọi là tạo hình nướu, là một kỹ thuật nha khoa nhằm loại bỏ hoặc điều chỉnh hình dáng của mô nướu, giúp cải thiện chức năng và thẩm mỹ của răng. Quy trình này bao gồm việc bóc tách và giải phẫu các liên kết giữa hàm và mô lợi, sau đó lật vạt lợi để loại bỏ phần lợi thừa bám trên thân răng.

Cắt nướu tạo hình giúp cải thiện chức năng và thẩm mỹ của răng (Nguồn: Internet)
Trường hợp nào nên cắt nướu tạo hình?
Dưới đây là những tình huống phổ biến mà cắt nướu tạo hình được xem là giải pháp cần thiết:
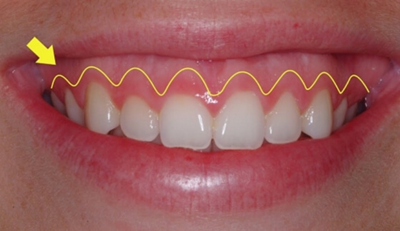
Cắt nướu khắc phục cười hở lợi
Cười hở lợi là trường hợp nướu phát triển mạnh, bao phủ chân răng nhiều hơn bình thường, làm cho chân răng trông ngắn hơn làm mất đi sự cân đối của nụ cười. Tiểu phẫu tạo hình đường lợi giúp giảm bớt phần nướu thừa, tạo đường viền nướu hài hòa và cải thiện thẩm mỹ.

Cắt nướu tạo hình đường lợi giúp giảm bớt phần nướu thừa, cải thiện thẩm mỹ nụ cười (Nguồn: Internet)
Cắt nướu bị viêm
Tình trạng viêm nướu kéo dài không chỉ gây đau nhức mà còn làm tổn thương cấu trúc răng. Khi tình trạng viêm nướu trở nên nghiêm trọng và không thể điều trị bằng các phương pháp thông thường, tiểu phẫu cắt nướu thường được chỉ định. Thủ thuật này nhằm loại bỏ phần nướu bị viêm, đồng thời kết hợp với các biện pháp điều trị khác để loại bỏ triệt để vi khuẩn ẩn sâu dưới chân răng.

Cắt nướu tạo hình nướu bị viêm để loại bỏ vi khuẩn và mang lại tự tin (Nguồn: Internet)
Cắt lợi thừa, lợi trùm
Trong một số trường hợp, lợi răng dài bẩm sinh dẫn đến tình trạng thừa lợi, phủ quá nhiều thân răng, đặc biệt là đối với răng khôn. Khi lợi trùm lên răng khôn, nó có thể gây ra tình trạng răng bị mắc lại, khó mọc và gây đau cho bệnh nhân. Trong trường hợp này, cắt lợi trùm răng khôn là giải pháp tối ưu giúp răng phát triển bình thường.

Cắt lợi trùm răng khôn là giải pháp tối ưu giúp răng phát triển bình thường (Nguồn: Internet)
Cắt nướu để trẻ mọc răng
Trong giai đoạn thay răng của trẻ, nếu nướu quá dày hoặc cứng khiến răng vĩnh viễn không thể mọc lên, cắt nướu là giải pháp cần thiết để hỗ trợ quá trình mọc răng của trẻ diễn ra bình thường.
Cắt lợi phì đại do u
Khi mô nướu phát triển bất thường và hình thành khối u phì đại, toàn bộ vùng lợi có thể bị sưng, gây đau nhức và tiềm ẩn nhiều biến chứng nghiêm trọng. Trong trường hợp này, việc sử dụng thuốc giảm sưng, đau chỉ mang tính chất tạm thời. Tiểu phẫu cắt nướu tạo hình được xem là phương pháp khắc phục hiệu quả và triệt để nhất.
Những trường hợp khác
Ngoài những trường hợp Parkway kể trên, tiểu phẫu tạo hình đường lợi còn được áp dụng để tạo điều kiện thuận lợi cho các phương pháp điều trị nha khoa khác như: bọc răng sứ hay chỉnh nha.
Những phương pháp cắt nướu tạo hình
Cắt nướu tạo hình bằng Laser
Cắt lợi bằng Laser là phương pháp sử dụng cơ chế đốt và co nhiệt tại vị trí đốt xử lý tình trạng thừa nướu một cách nhẹ nhàng, ít gây tổn thương và ít chảy máu hơn so với những phương pháp còn lại. Bên cạnh đó, phương pháp này còn giúp hạn chế tình trạng nhiễm trùng bởi các tia laser năng lượng cao khử trùng hoàn toàn khu vực được cắt nướu.

Cắt nướu bằng laser nhẹ nhàng không đau (Nguồn: Internet)
Cắt nướu tạo hình bằng dao
Phương pháp cắt nướu tạo hình bằng dao là kỹ thuật truyền thống, được thực hiện thủ công bởi bác sĩ có tay nghề cao và kiến thức chuyên môn giỏi. Phương pháp này trước đây thường được sử dụng để khắc phục tình trạng viêm lợi hoặc nướu phì đại. Tuy nhiên, do tồn tại nhiều hạn chế nên hiện nay kỹ thuật này không còn phổ biến như trước nữa.

Phương pháp cắt nướu tạo hình bằng dao là kỹ thuật truyền thống (Nguồn: Internet)
Cắt nướu tạo hình bằng điện
Đây là phương pháp sử dụng sóng điện từ, dòng tia lửa điện ở tần số cao để loại bỏ phần lợi thừa, lợi bị viêm. So với phương pháp truyền thống thì phương pháp này ít gây chảy máu hơn sau khi tiểu phẫu. Tuy nhiên, do điều kiện thực hiện khá khắt khe, đây cũng chưa trở thành lựa chọn phổ biến trong ngành nha khoa hiện đại.
Dịch vụ cắt nướu tại Nha khoa Parkway
Cắt nướu tạo hình không chỉ giúp cải thiện thẩm mỹ mà còn góp phần quan trọng trong việc bảo vệ sức khỏe răng miệng. Việc lựa chọn nha khoa uy tín, chất lượng, có đội ngũ bác sĩ giỏi cũng là một yếu tố quan trọng quyết định đến kết quả điều trị.
Nha khoa Parkway là chuỗi hệ thống nha khoa uy tín toàn quốc, gồm nhiều dịch vụ từ cơ bản đến chuyên sâu, đáp ứng mọi nhu cầu của khách hàng, cho mọi lứa tuổi. Khi sử dụng dịch vụ nha khoa thẩm mỹ tại Parkway, khách hàng có thể yên tâm bởi:
- Parkway luôn đặt lợi ích sức khỏe của khách hàng lên hàng đầu.
- Đội ngũ bác sĩ đầu ngành, bằng cấp rõ ràng, nhiều năm kinh nghiệm và tận tâm với khách hàng.
- Cơ sở vật chất hiện đại, trang thiết bị tối tân.
- Hệ thống chuỗi nha khoa 16 cơ sở khắp cả nước.
- Báo giá trọn gói, minh bạch, không phát sinh chi phí trong quá trình điều trị.
Trên đây là tất tần tật những thông tin cần biết về cắt nướu tạo hình. Nha khoa Parkway hy vọng đã cung cấp được những kiến thức hữu ích và giúp bạn có thêm kinh nghiệm trong việc chăm sóc sức khỏe răng miệng hàng ngày!
Xem thêm: