
Cao răng là những mảng bám bị vôi hóa trên răng và gây ảnh hưởng trực tiếp đến sức khỏe răng miệng nếu không được xử lý đúng cách. Trong bài viết này, hãy cùng Nha khoa Parkway tìm hiểu cao răng là gì và những cách phòng ngừa cao răng hiệu quả. Tham khảo ngay nhé!
Cao răng là gì?
Cao răng (vôi răng) ban đầu chỉ là những mảng bám mềm mại (do vụn thức ăn để lại), nhưng theo thời gian chúng sẽ cứng lại do quá trình vôi hóa, tạo thành một lớp cặn cứng bám chặt trên bề mặt răng và dọc theo đường viền nướu. Cao răng có thể không màu hoặc hơi ngà, thậm chí sẫm màu hơn như nâu hoặc đen nếu tích tụ lâu ngày.
Cao răng có thể hình thành ở bất kỳ vị trí nào trên răng, nhưng phổ biến nhất là ở những khu vực khó vệ sinh như kẽ răng, mặt trong của răng hàm dưới và dọc theo đường viền nướu. Khi cao răng đã hình thành, chúng không thể được loại bỏ bằng việc đánh răng thông thường mà cần đến sự can thiệp của các biện pháp chuyên nghiệp tại nha khoa.

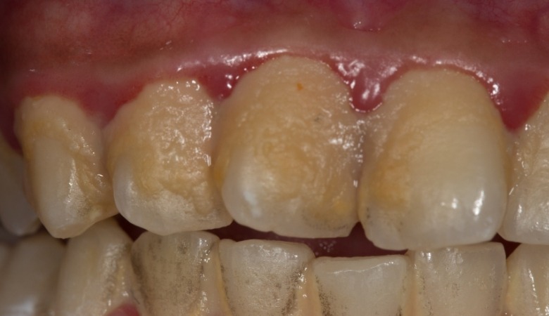
Cao răng là lớp cặn cứng bám chặt trên bề mặt răng có chứa nhiều vi khuẩn gây hại (Nguồn: Internet)
Quá trình hình thành cao răng
Khi mảng bám không được loại bỏ thường xuyên thông qua việc đánh răng và sử dụng chỉ nha khoa, các khoáng chất trong nước bọt, đặc biệt là canxi phosphate, sẽ dần dần thấm vào mảng bám. Quá trình này dẫn đến sự vôi hóa, khiến mảng bám mềm trở nên cứng và bám chắc vào bề mặt răng, tạo thành cao răng.
Tốc độ hình thành cao răng khác nhau ở mỗi người và phụ thuộc vào nhiều yếu tố (chế độ ăn uống, thói quen vệ sinh răng miệng, thành phần nước bọt,…). Trong đó, những người có chế độ ăn nhiều đường và tinh bột, vệ sinh răng miệng kém hoặc có một số bệnh lý nền có xu hướng hình thành cao răng nhanh hơn.
Quá trình hình thành cao răng là một diễn biến liên tục và phức tạp, thường trải qua các giai đoạn sau:
- Ngay sau khi ăn khoảng 15 phút: Một lớp màng mỏng vô khuẩn gọi là pellicle sẽ hình thành trên bề mặt răng, chúng có vai trò như một lớp bảo vệ ban đầu cho men răng nhưng cũng tạo điều kiện thuận lợi cho vi khuẩn bám vào. Các vi khuẩn trong miệng, bao gồm cả vi khuẩn có lợi và vi khuẩn gây hại, sẽ bắt đầu tích tụ trên lớp pellicle, kết hợp với các mảnh vụn thức ăn còn sót lại, đặc biệt là đường và tinh bột, để tạo thành mảng bám răng. Mảng bám lúc này vẫn còn mềm và có thể được loại bỏ bằng cách chải răng đúng cách.
- Trong vòng khoảng một tuần: quá trình vôi hóa sẽ bắt đầu diễn ra nếu các mảng bám không được làm sạch kỹ lưỡng, các khoáng chất như canxi và phosphate có trong nước bọt sẽ lắng đọng vào mảng bám, khiến chúng trở nên cứng dần. Quá trình này diễn ra từ từ, từ lớp ngoài vào bên trong của mảng bám.
- Sau một thời gian dài: mảng bám đã vôi hóa hoàn toàn sẽ trở thành cao răng, bám rất chắc vào bề mặt răng và nướu. Lúc này, cao răng đã trở thành một nơi trú ẩn lý tưởng cho vi khuẩn, tạo điều kiện cho chúng tiếp tục phát triển và gây ra các vấn đề răng miệng khác.

Quá trình hình thành cao răng diễn ra trong một thời gian dài do thói quen vệ sinh răng miệng không đúng cách (Nguồn: Internet)
Tác hại của cao răng
Cao răng không chỉ là vấn đề thẩm mỹ mà còn gây ra nhiều tác hại nghiêm trọng đối với sức khỏe răng miệng và thậm chí ảnh hưởng đến sức khỏe toàn thân nếu không được kiểm soát. Dưới đây là một số tác hại phổ biến của cao răng:
- Viêm nướu: Cao răng là nơi trú ngụ của vô số vi khuẩn, gây kích thích nướu, viêm nhiễm,… dẫn đến các triệu chứng như sưng đỏ, đau nhức và chảy máu chân răng, đặc biệt là khi đánh răng hoặc ăn nhai.
- Viêm nha chu: Đây một bệnh lý nghiêm trọng có thể gây tiêu xương, làm răng lung lay và cuối cùng là dẫn đến mất răng,… nguyên nhân chủ yếu là do tình trạng viêm nướu không được điều trị, vi khuẩn từ cao răng sẽ tiếp tục tấn công sâu hơn vào các mô nâng đỡ răng, bao gồm dây chằng nha chu và xương ổ răng.
- Hôi miệng: Cao răng chứa đựng nhiều vi khuẩn gây mùi khó chịu, điều này không chỉ khiến bệnh nhân mất tự tin trong giao tiếp mà còn là dấu hiệu của các vấn đề sức khỏe răng miệng khác.
- Mất thẩm mỹ: Cao răng khi đã sẫm màu, sẽ làm cho răng trông kém sạch sẽ và ảnh hưởng đến nụ cười và sự tự tin của mỗi người do các mảng cao răng lớn có thể nhìn thấy rõ ràng khi cười hoặc nói.
- Tụt nướu: Sự viêm nhiễm do cao răng gây ra có thể dẫn đến tình trạng nướu bị tụt xuống, làm lộ chân răng, khiến cho bệnh nhân dễ bị nhạy cảm với nhiệt độ và thức ăn, gây ê buốt răng khi ăn nhai.
Vì những tác hại nghiêm trọng này, việc phòng ngừa và loại bỏ cao răng định kỳ là vô cùng quan trọng để duy trì một sức khỏe răng miệng tốt và góp phần bảo vệ sức khỏe toàn thân.

Cao răng không được xử lý có thể gây viêm nướu, viêm nha chu hoặc dẫn đến mất răng vĩnh viễn (Nguồn: Internet)
Cách lấy cao răng tại nhà
Mặc dù không thể loại bỏ hoàn toàn cao răng đã hình thành bằng các biện pháp tại nhà, nhưng bạn hoàn toàn có thể áp dụng một số cách để làm chậm quá trình tích tụ và giảm thiểu sự hình thành của chúng. Dưới đây là một số phương pháp bạn có thể tham khảo:
- Sử dụng kem đánh răng chuyên dụng: Hiện nay trên thị trường có nhiều loại kem đánh răng được thiết kế đặc biệt để kiểm soát và ngăn ngừa sự hình thành cao răng. Các loại kem đánh răng này thường chứa các thành phần giúp phá vỡ mảng bám và ngăn chặn quá trình vôi hóa.
- Súc miệng bằng nước muối: Nước muối có tính sát khuẩn nhẹ, giúp làm sạch khoang miệng và giảm viêm nướu. Bạn có thể pha một thìa cà phê muối với một cốc nước ấm và súc miệng khoảng 2-3 lần mỗi ngày.
- Sử dụng baking soda: Baking soda có tính kiềm và khả năng mài mòn nhẹ, có thể giúp loại bỏ mảng bám trên bề mặt răng. Bạn có thể trộn một ít baking soda với nước để tạo thành hỗn hợp sệt và dùng bàn chải đánh răng chà nhẹ lên răng.
- Sử dụng vỏ trái cây: Một số người tin rằng việc chà vỏ một số loại trái cây như cam hoặc chanh lên răng có thể giúp loại bỏ mảng bám. Vỏ các loại quả này chứa axit citric có thể giúp làm mềm mảng bám.
- Sử dụng các sản phẩm hỗ trợ làm sạch kẽ răng: Chỉ nha khoa, tăm nước hoặc bàn chải kẽ răng là những công cụ hữu ích giúp loại bỏ mảng bám và thức ăn thừa ở những khu vực mà bàn chải đánh răng thông thường khó tiếp cận, từ đó giúp ngăn ngừa sự hình thành cao răng ở những vị trí này.
Lưu ý quan trọng: Các biện pháp lấy cao răng tại nhà chỉ mang tính hỗ trợ và không thể loại bỏ hoàn toàn cao răng đã hình thành. Nếu bạn nhận thấy có mảng bám cứng đầu hoặc các dấu hiệu của viêm nướu, việc tìm đến nha sĩ để được tư vấn và điều trị chuyên nghiệp là vô cùng cần thiết.

Đánh răng bằng muối baking soda là một cách hạn chế sự hình thành cao răng có thể thực hiện tại nhà (Nguồn: Internet)
Cách lấy cao răng tại nha khoa
Phương pháp hiệu quả và an toàn nhất để loại bỏ cao răng là đến nha khoa để thực hiện thủ thuật lấy cao răng chuyên nghiệp. Trong đó, quy trình của dịch vụ lấy cao răng tại nha khoa thường diễn ra như sau:
- Thăm khám và tư vấn: Bác sĩ nha khoa sẽ tiến hành thăm khám tổng quát tình trạng răng miệng của bạn để đánh giá mức độ cao răng và các vấn đề liên quan khác. Dựa trên tình trạng cụ thể, bác sĩ sẽ tư vấn về phương pháp lấy cao răng phù hợp.
- Vệ sinh răng miệng ban đầu: Trước khi tiến hành lấy cao răng, kỹ thuật viên hoặc bác sĩ sẽ vệ sinh răng miệng cho bạn bằng cách súc miệng với dung dịch sát khuẩn.
- Sử dụng dụng cụ chuyên dụng: Nhiều nha khoa sử dụng máy cạo vôi răng bằng sóng siêu âm hiện đại với đầu rung nhẹ nhàng trên bề mặt răng, tạo ra các bước sóng giúp phá vỡ các liên kết của cao răng, đồng thời loại bỏ chúng một cách hiệu quả mà không gây đau đớn hay tổn thương men răng.
- Loại bỏ cao răng ở các vị trí khác nhau: Bác sĩ sẽ tiến hành lấy cao răng ở tất cả các mặt răng, bao gồm cả mặt ngoài, mặt trong, mặt nhai và các kẽ răng. Đặc biệt, cao răng bám ở dưới đường viền nướu và trong các túi nha chu (nếu có) cũng sẽ được loại bỏ cẩn thận.
- Đánh bóng răng: Sau khi loại bỏ hoàn toàn cao răng, bề mặt răng có thể trở nên nhám. Để làm cho răng trở nên mịn màng hơn và hạn chế sự tích tụ của mảng bám trong tương lai, bác sĩ sẽ tiến hành đánh bóng răng bằng một loại thuốc đánh bóng đặc biệt và dụng cụ chuyên dụng.
- Hướng dẫn chăm sóc răng miệng sau khi lấy cao răng: Sau khi hoàn tất quá trình lấy cao răng, bác sĩ sẽ cung cấp cho bạn những hướng dẫn chi tiết về cách chăm sóc răng miệng tại nhà để duy trì hiệu quả của việc điều trị và ngăn ngừa cao răng tái hình thành.
Lưu ý về tần suất lấy cao răng định kỳ: Các chuyên gia nha khoa khuyến cáo nên lấy cao răng định kỳ 3-6 tháng một lần, tùy thuộc vào tình trạng răng miệng và tốc độ tích tụ cao răng của mỗi người. Việc lấy cao răng định kỳ không chỉ giúp loại bỏ cao răng mà còn giúp phát hiện sớm các vấn đề răng miệng khác và có biện pháp can thiệp kịp thời.

Nên lấy cao răng định kỳ tại nha khoa trong khoảng từ 3-6 tháng một lần (Nguồn: Internet)
Lưu ý vệ sinh răng miệng để hạn chế cao răng
Để hạn chế sự hình thành cao răng và duy trì một hàm răng chắc khỏe, bạn cần chú ý đến việc vệ sinh răng miệng hàng ngày đúng cách:
- Đánh răng đúng cách: Chải răng ít nhất hai lần mỗi ngày, vào buổi sáng sau khi thức dậy và buổi tối trước khi đi ngủ. Nên sử dụng bàn chải có lông mềm và kem đánh răng chứa fluoride. Chải răng theo chiều dọc hoặc xoay tròn, đảm bảo làm sạch tất cả các bề mặt răng trong khoảng 2 phút.
- Sử dụng chỉ nha khoa: Chỉ nha khoa là một công cụ không thể thiếu trong việc làm sạch các kẽ răng, nơi mà bàn chải đánh răng khó tiếp cận. Sử dụng chỉ nha khoa ít nhất một lần mỗi ngày, tốt nhất là vào buổi tối trước khi đi ngủ để loại bỏ thức ăn thừa và mảng bám.
- Sử dụng nước súc miệng: Nước súc miệng có thể giúp loại bỏ vi khuẩn và mảng bám còn sót lại sau khi đánh răng và dùng chỉ nha khoa. Nên chọn các loại nước súc miệng có chứa fluoride hoặc các thành phần kháng khuẩn.
- Chế độ ăn uống hợp lý: Hạn chế tiêu thụ các loại thực phẩm và đồ uống có nhiều đường và tinh bột, vì chúng là nguồn thức ăn chính cho vi khuẩn trong miệng. Tăng cường ăn các loại rau xanh, trái cây tươi và uống đủ nước để giúp làm sạch răng miệng một cách tự nhiên.
- Thăm khám nha khoa định kỳ: Đừng đợi đến khi có vấn đề mới đi khám răng. Thăm khám nha khoa định kỳ 3-6 tháng một lần giúp bác sĩ kiểm tra tình trạng răng miệng, phát hiện sớm các dấu hiệu của sâu răng, viêm nướu và cao răng, từ đó có biện pháp xử lý kịp thời.
- Không hút thuốc lá: Hút thuốc lá không chỉ gây hại cho sức khỏe tổng thể mà còn làm tăng nguy cơ hình thành cao răng và mắc các bệnh về nướu. Bỏ thuốc lá là một trong những biện pháp quan trọng để bảo vệ sức khỏe răng miệng.
- Vệ sinh lưỡi: Lưỡi cũng là nơi tích tụ nhiều vi khuẩn gây hôi miệng và góp phần hình thành mảng bám. Hãy sử dụng dụng cụ cạo lưỡi hoặc mặt sau của bàn chải đánh răng để làm sạch lưỡi hàng ngày.
Thực hiện đúng và đầy đủ các biện pháp vệ sinh răng miệng trên sẽ giúp bạn hạn chế tối đa sự hình thành cao răng, duy trì một hàm răng sạch sẽ, khỏe mạnh và một hơi thở thơm mát. Nếu bạn có bất kỳ thắc mắc nào về cao răng hoặc các vấn đề răng miệng khác, đừng ngần ngại liên hệ với Nha khoa Parkway để được tư vấn và hỗ trợ tận tình. Chúng tôi luôn sẵn lòng đồng hành cùng bạn trên hành trình chăm sóc sức khỏe răng miệng!
Xem thêm: